症例集(Before-After)
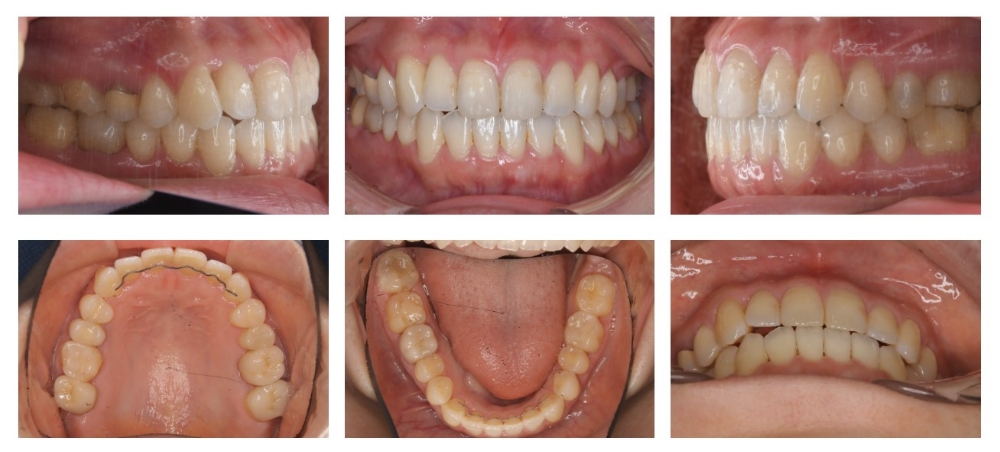
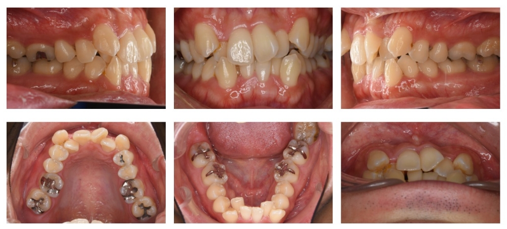
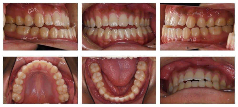
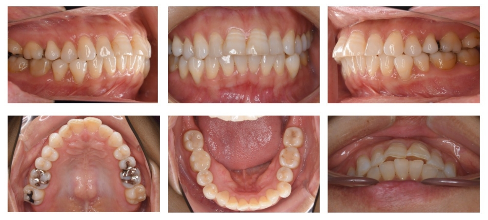
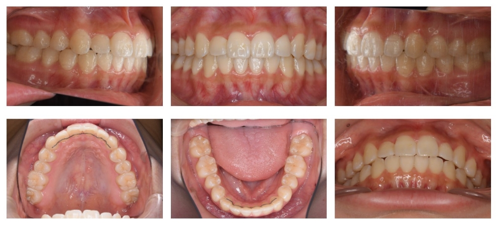
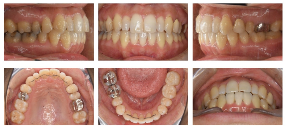
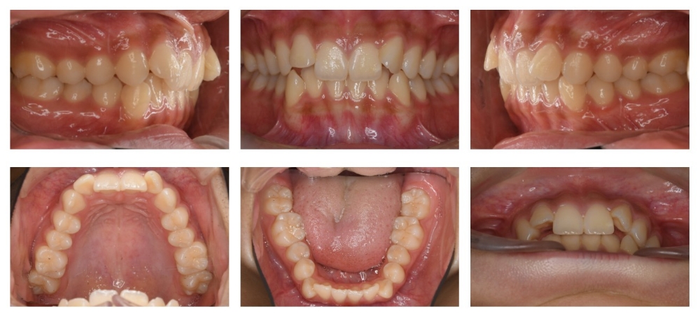
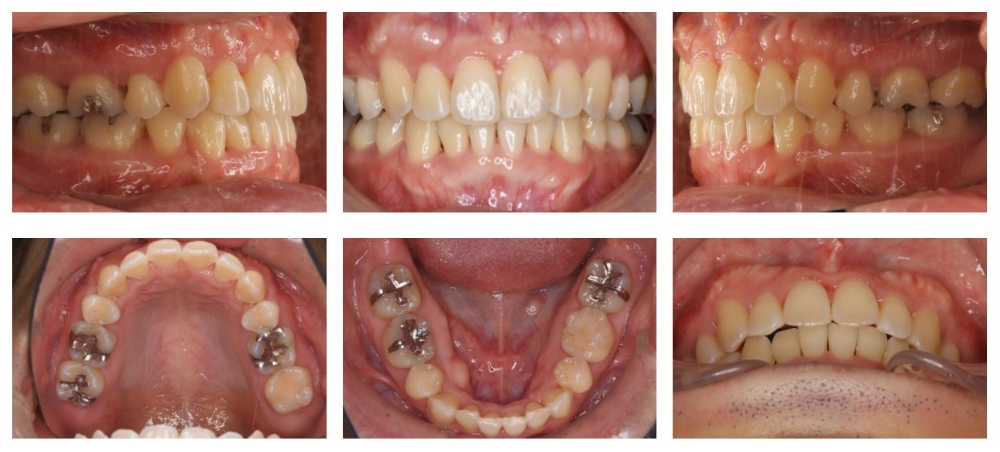
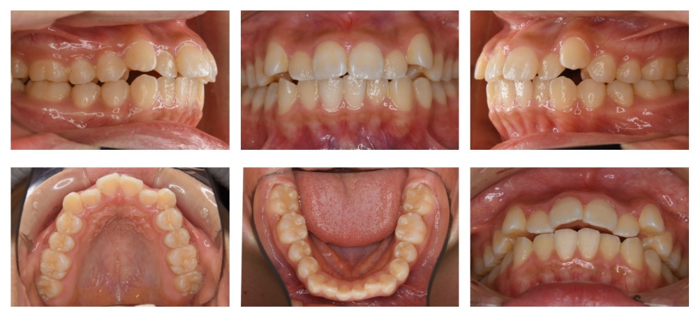
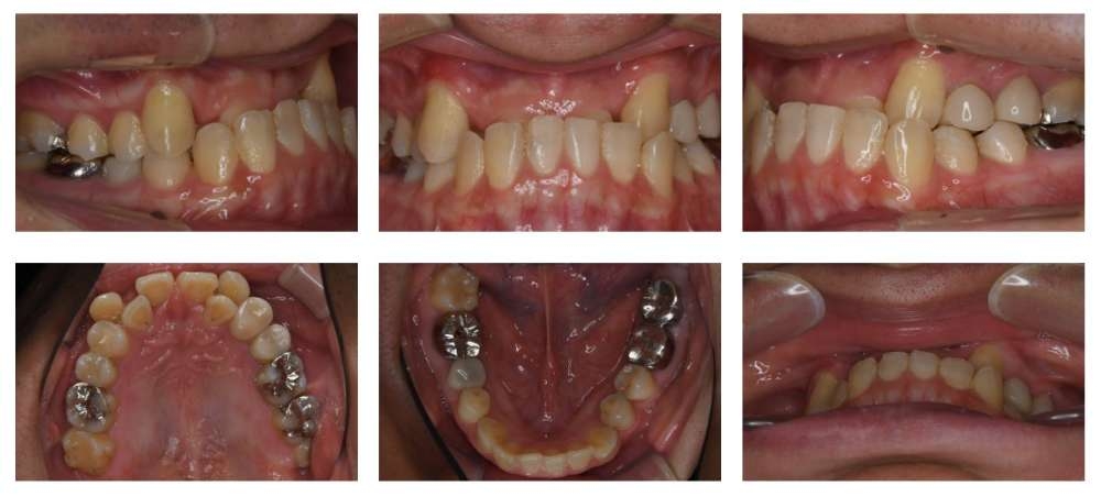
ガタガタを主訴に当院を受診され、上下顎前歯部に叢生(ガタガタ)を認めました。
IPR(ストリッピング)と顎間ゴム(エラスティック)を併用してマウスピース型矯正装置(インビザライン)を使用し叢生の改善を行いました。
| 主訴 | ガタガタ |
|---|---|
| 年齢/性別 | 10代/女性 |
| 抜歯部位 | 非抜歯 |
| 使用装置 | マウスピース型矯正装置(インビザライン) |
| 治療期間 | 2年 |
| リテーナー | 上LBR、下LBR、上ラップアラウンドリテーナー、下ラップアラウンドリテーナー |
- 歯根吸収(歯の根が短くなる症状)
- 歯肉退縮(歯肉が下がる症状)
- アンキローシス(歯と歯を支える骨が癒着し歯が動かなくなる)
- 失活(歯の神経が壊死してしまう状態)
- 顎関節症(顎の痛み)
| 検査・診断料 | 11,000円 |
|---|---|
| 矯正料金 | 1,100,000円 |
| 処置料 | 3,300円 × 20回 |
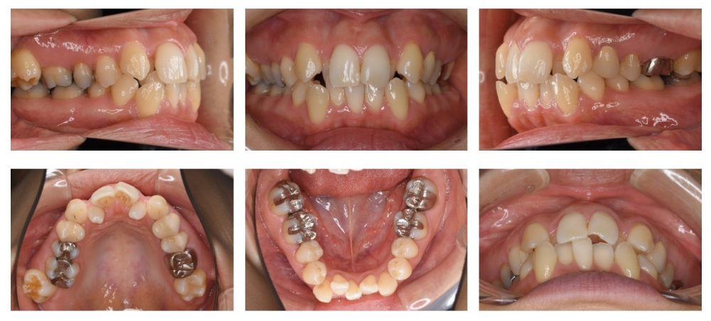
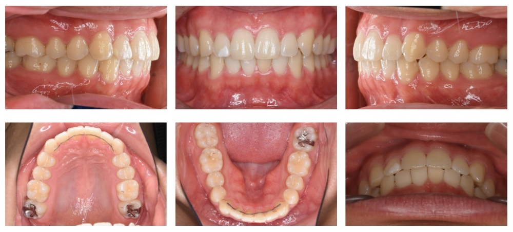
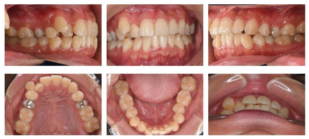
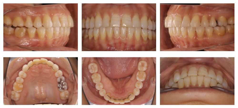
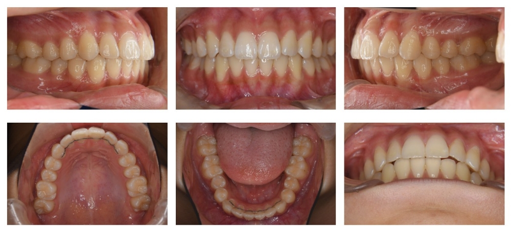
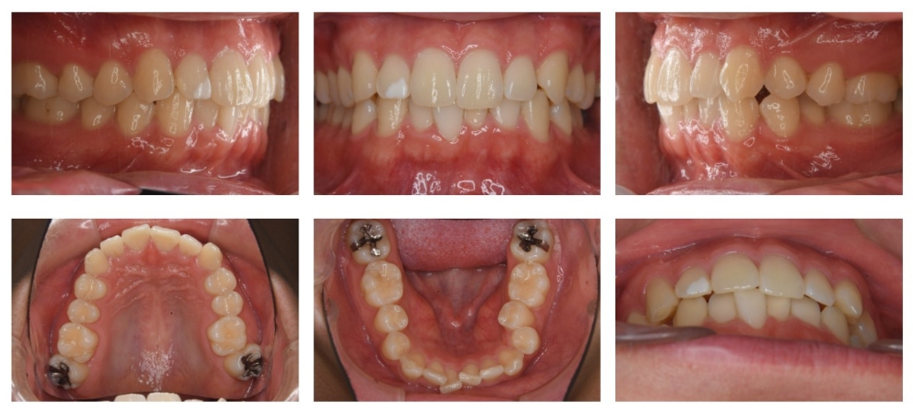
開咬(前歯がかんでいない)を主訴に当院を受診され、上顎左右1番間と下顎歯列に空隙を認めました。顎間ゴム(エラスティック)を併用してマウスピース型矯正装置(インビザライン)にて治療を行い、空隙の閉鎖を行いました。
| 主訴 | 開咬(前歯が咬んでない) |
|---|---|
| 年齢/性別 | 20代/女性 |
| 抜歯部位 | 非抜歯 |
| 使用装置 | マウスピース型矯正装置(インビザライン) |
| 治療期間 | 3年 |
| リテーナー | 上LBR、下LBR、上ラップアラウンドリテーナー、下ラップアラウンドリテーナー、上クリアリテーナー、下クリアリテーナー |
- 歯根吸収(歯の根が短くなる症状)
- 歯肉退縮(歯肉が下がる症状)
- アンキローシス(歯と歯を支える骨が癒着し歯が動かなくなる)
- 失活(歯の神経が壊死してしまう状態)
- 顎関節症(顎の痛み)
| 検査・診断料 | 11,000円 |
|---|---|
| 矯正料金 | 1,100,000円 |
| 処置料 | 3,300円 × 25回 |
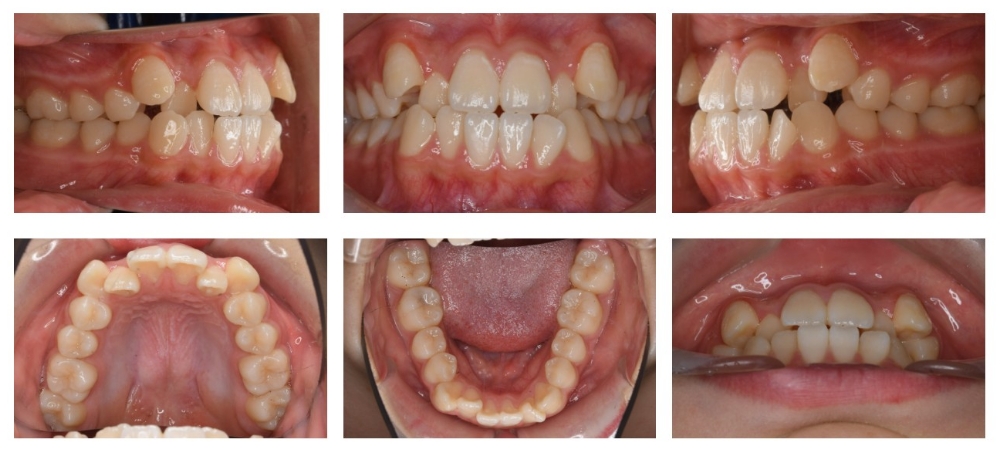
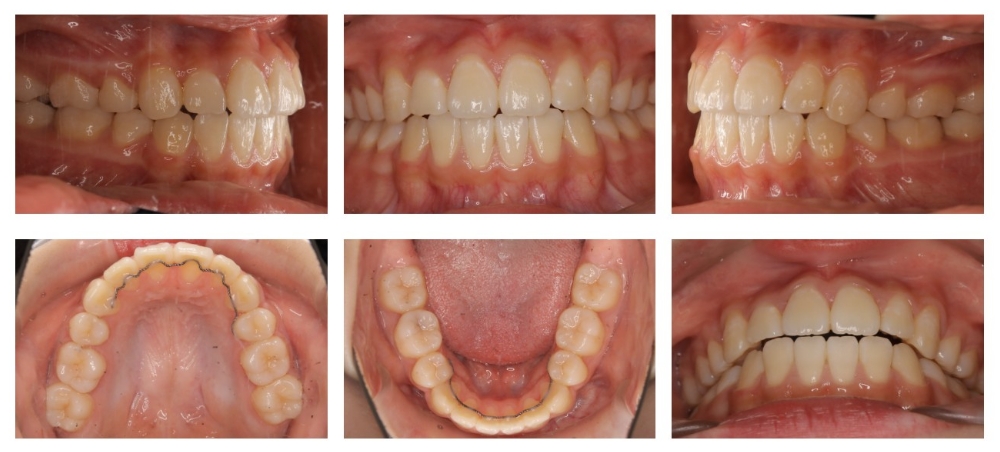
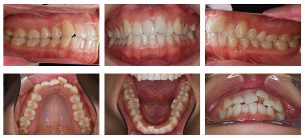
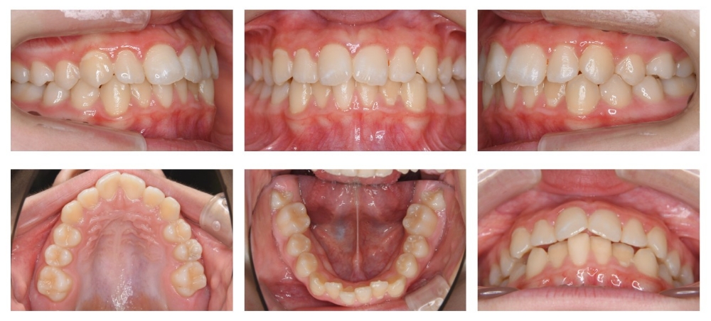
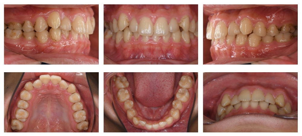
ガタガタ、出っ歯を主訴に当院を受診され、上顎前突(上下の前歯同士の段差が大きい状態) と上下前歯部の叢生(ガタガタ)を認めました。
顎間ゴム(エラスティック)を併用してマウスピース型矯正装置(インビザライン)にて治療を開始し、上顎前突と叢生の改善を行いました。
| 主訴 | ガタガタ、出っ歯 |
|---|---|
| 年齢/性別 | 10代/女性 |
| 抜歯部位 | 非抜歯 |
| 使用装置 | マウスピース型矯正装置(インビザライン)、カリエール |
| 治療期間 | 2年6ヶ月 |
| リテーナー | 上LBR、下LBR、上クリアリテーナー、下クリアリテーナー |
- 歯根吸収(歯の根が短くなる症状)
- 歯肉退縮(歯肉が下がる症状)
- アンキローシス(歯と歯を支える骨が癒着し歯が動かなくなる)
- 失活(歯の神経が壊死してしまう状態)
- 顎関節症(顎の痛み)
| 検査・診断料 | 11,000円 |
|---|---|
| 矯正料金 | 1,100,000円 |
| 処置料 | 3,300円 × 23回 |
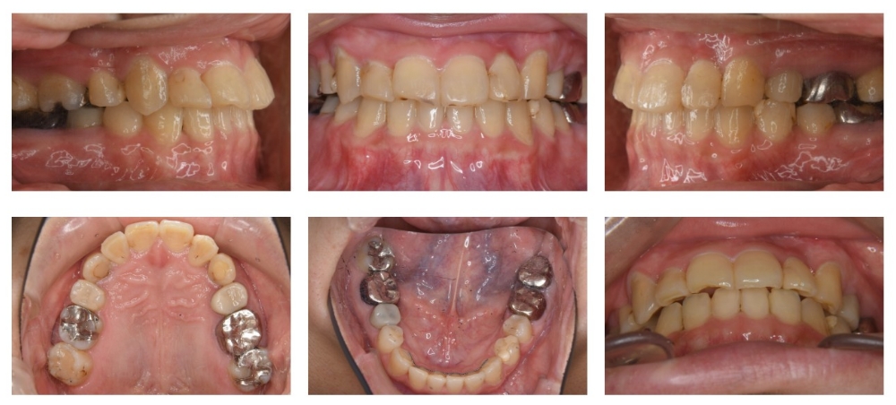
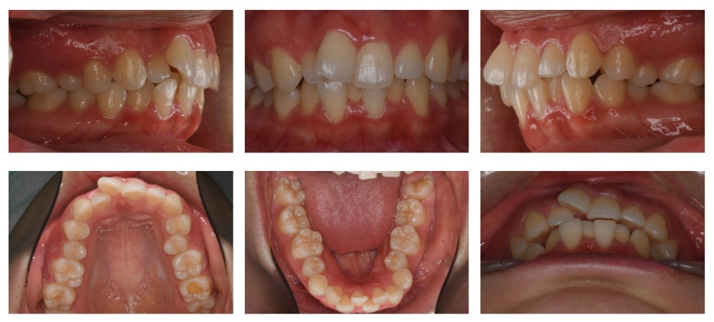
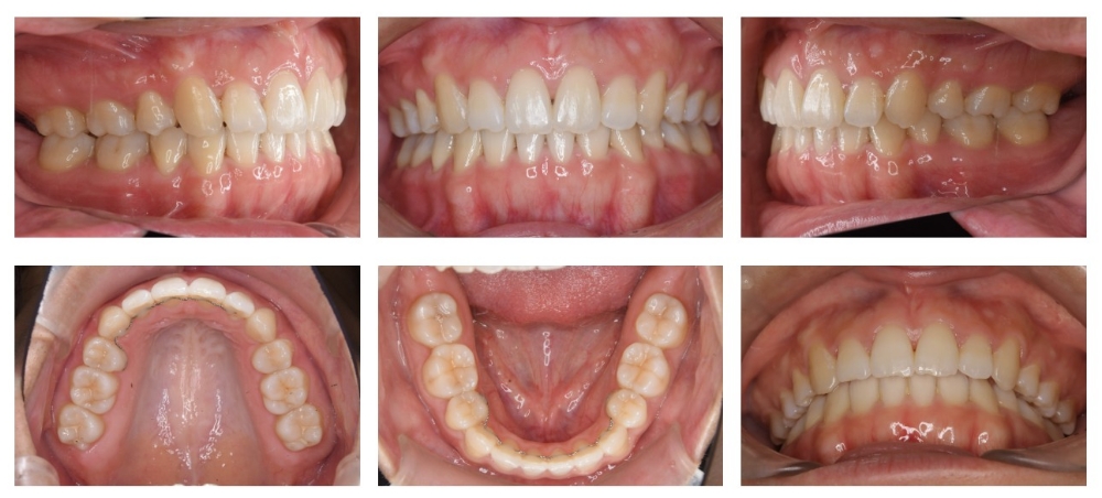
ガタガタを主訴に当院を受診され、上下顎前歯部に叢生(ガタガタ)を認めました。
IPR(ストリッピング)と顎間ゴム(エラスティック)を併用してマウスピース型矯正装置(インビザライン)にて治療を行いました。
| 主訴 | ガタガタ |
|---|---|
| 年齢/性別 | 50代/女性 |
| 抜歯部位 | 非抜歯 |
| 使用装置 | マウスピース型矯正装置(インビザライン) |
| 治療期間 | 2年1ヶ月 |
| リテーナー | 上LBR、下LBR、上クリアリテーナー、下クリアリテーナー |
- 歯根吸収(歯の根が短くなる症状)
- 歯肉退縮(歯肉が下がる症状)
- アンキローシス(歯と歯を支える骨が癒着し歯が動かなくなる)
- 失活(歯の神経が壊死してしまう状態)
- 顎関節症(顎の痛み)
| 検査・診断料 | 11,000円 |
|---|---|
| 矯正料金 | 1,100,000円 |
| 処置料 | 3,300円 × 19回 |
ガタガタを主訴に当院を受診され、上下顎前歯部に叢生(ガタガタ)を認めました。
IPR(ストリッピング)と顎間ゴム(エラスティック)を併用してマウスピース型矯正装置(インビザライン)にて治療を行いました。
| 主訴 | ガタガタ |
|---|---|
| 年齢/性別 | 20代/女性 |
| 抜歯部位 | 非抜歯 |
| 使用装置 | マウスピース型矯正装置(インビザライン) |
| 治療期間 | 2年 |
| リテーナー | 上LBR、下LBR、上ラップアラウンドリテーナー、下ラップアラウンドリテーナー |
- 歯根吸収(歯の根が短くなる症状)
- 歯肉退縮(歯肉が下がる症状)
- アンキローシス(歯と歯を支える骨が癒着し歯が動かなくなる)
- 失活(歯の神経が壊死してしまう状態)
- 顎関節症(顎の痛み)
| 検査・診断料 | 11,000円 |
|---|---|
| 矯正料金 | 1,100,000円 |
| 処置料 | 3,300円 × 18回 |
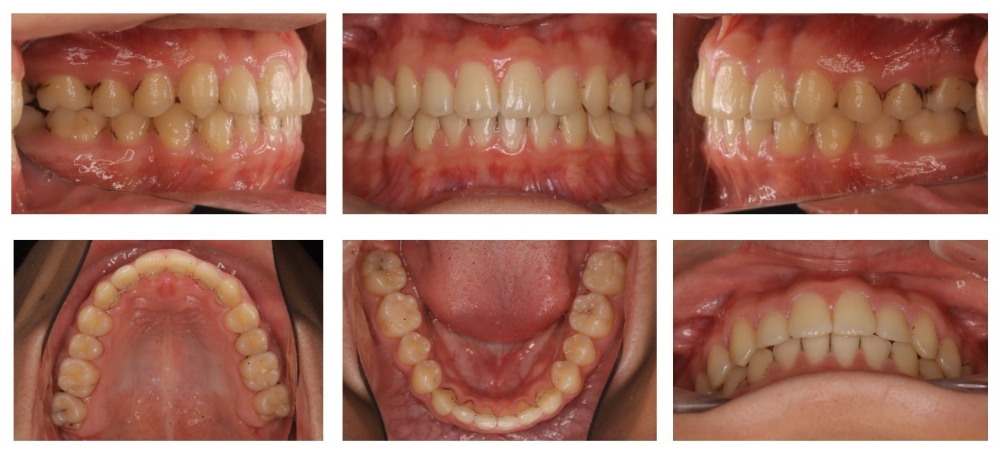
ガタガタを主訴に当院を受診され、上下に軽度の叢生(ガタガタ)と空隙を認めました。 顎間ゴム(エラスティック)を併用してマウスピース型矯正装置(インビザライン)にて治療を行いました。
| 主訴 | ガタガタ |
|---|---|
| 年齢/性別 | 10代/女性 |
| 抜歯部位 | 非抜歯 |
| 使用装置 | マウスピース型矯正装置(インビザライン) |
| 治療期間 | 1年7ヶ月 |
| リテーナー | 上LBR、下LBR、上ラップアラウンドリテーナー、下ラップアラウンドリテーナー |
- 歯根吸収(歯の根が短くなる症状)
- 歯肉退縮(歯肉が下がる症状)
- アンキローシス(歯と歯を支える骨が癒着し歯が動かなくなる)
- 失活(歯の神経が壊死してしまう状態)
- 顎関節症(顎の痛み)
| 検査・診断料 | 11,000円 |
|---|---|
| 矯正料金 | 731,500円 |
| 処置料 | 3,300円 × 14回 |
開咬(前歯がかんでいない状態)を主訴に当院を受診され、上下に軽度の叢生(ガタガタ)と開咬を認めました。顎間ゴム(エラスティック)を併用してマウスピース型矯正装置(インビザライン)にて治療を行いました。
| 主訴 | かみ合わせが深い、開咬(前歯が咬んでない) |
|---|---|
| 年齢/性別 | 30代/女性 |
| 抜歯部位 | 非抜歯 |
| 使用装置 | マウスピース型矯正装置(インビザライン) |
| 治療期間 | 1年10ヶ月 |
| リテーナー | 上LBR、下LBR、上ラップアラウンドリテーナー、下ラップアラウンドリテーナー |
- 歯根吸収(歯の根が短くなる症状)
- 歯肉退縮(歯肉が下がる症状)
- アンキローシス(歯と歯を支える骨が癒着し歯が動かなくなる)
- 失活(歯の神経が壊死してしまう状態)
- 顎関節症(顎の痛み)
| 検査・診断料 | 33,000円 |
|---|---|
| 矯正料金 | 1,100,000円 |
| 処置料 | 3,300円 × 17回 |
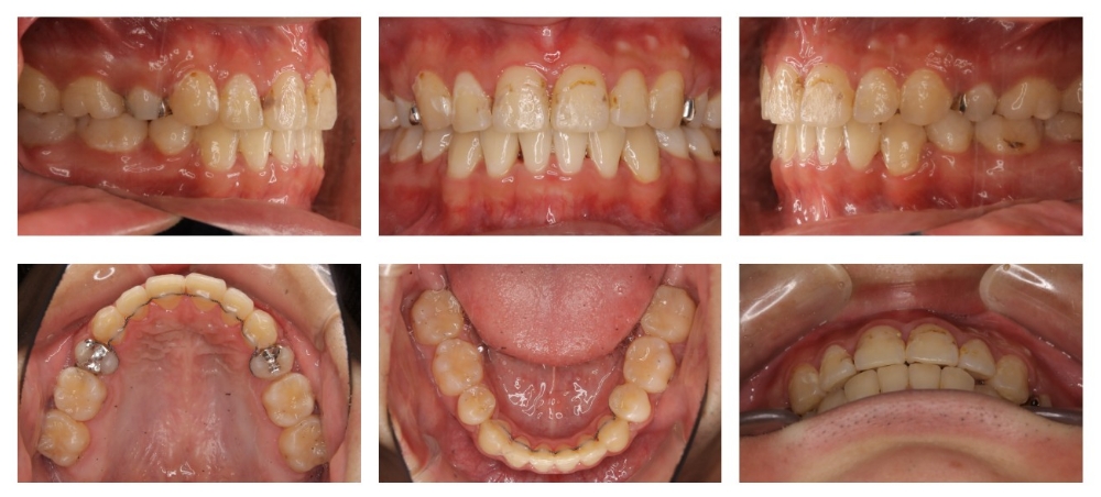
ガタガタを主訴に当院を受診され、上下前歯部に叢生(ガタガタ)と過蓋咬合(かみ合わせが深い状態)を認めました。 IPR(ストリッピング)と顎間ゴム(エラスティック)を併用してマウスピース型矯正装置(インビザライン)にて治療を行いました。
| 主訴 | ガタガタ |
|---|---|
| 年齢/性別 | 30代/女性 |
| 抜歯部位 | 非抜歯 |
| 使用装置 | マウスピース型矯正装置(インビザライン) |
| 治療期間 | 1年4ヶ月 |
| リテーナー | 上LBR、下LBR、上ラップアラウンドリテーナー、下ラップアラウンドリテーナー |
- 歯根吸収(歯の根が短くなる症状)
- 歯肉退縮(歯肉が下がる症状)
- アンキローシス(歯と歯を支える骨が癒着し歯が動かなくなる)
- 失活(歯の神経が壊死してしまう状態)
- 顎関節症(顎の痛み)
| 検査・診断料 | 33,000円 |
|---|---|
| 矯正料金 | 1,100,000円 |
| 処置料 | 3,300円 × 12回 |
開咬(前歯がかんでいない状態)を主訴に当院を受診され、前歯部の開咬と叢生(ガタガタ)を認めました。 IPR(ストリッピング)と顎間ゴム(エラスティック)を併用してマウスピース型矯正装置(インビザライン)にて治療を行いました。
| 主訴 | 開咬(前歯が咬んでない) |
|---|---|
| 年齢/性別 | 40代/女性 |
| 抜歯部位 | 非抜歯 |
| 使用装置 | マウスピース型矯正装置(インビザライン) |
| 治療期間 | 2年 |
| リテーナー | 上LBR、下LBR、上ラップアラウンドリテーナー、下ラップアラウンドリテーナー |
- 歯根吸収(歯の根が短くなる症状)
- 歯肉退縮(歯肉が下がる症状)
- アンキローシス(歯と歯を支える骨が癒着し歯が動かなくなる)
- 失活(歯の神経が壊死してしまう状態)
- 顎関節症(顎の痛み)
| 検査・診断料 | 33,000円 |
|---|---|
| 矯正料金 | 1,100,000円 |
| 処置料 | 3,300円 × 18回 |
ガタガタを主訴に当院を受診され、上下前歯部に叢生(ガタガタ)と過蓋咬合(かみ合わせが深い状態)を認めました。IPR(ストリッピング)と顎間ゴム(エラスティック)を併用してマウスピース型矯正装置(インビザライン)にて治療を行いました。
| 主訴 | ガタガタ |
|---|---|
| 年齢/性別 | 30代/女性 |
| 抜歯部位 | 非抜歯 |
| 使用装置 | マウスピース型矯正装置(インビザライン) |
| 治療期間 | 2年 |
| リテーナー | 上LBR、下LBR、上クリアリテーナー、下クリアリテーナー |
- 歯根吸収(歯の根が短くなる症状)
- 歯肉退縮(歯肉が下がる症状)
- アンキローシス(歯と歯を支える骨が癒着し歯が動かなくなる)
- 失活(歯の神経が壊死してしまう状態)
- 顎関節症(顎の痛み)
| 検査・診断料 | 33,000円 |
|---|---|
| 矯正料金 | 1,100,000円 |
| 処置料 | 3,300円 × 17回 |
ガタガタを主訴に当院を受診され、上下前歯部に叢生(ガタガタ)を認めました。
IPR(ストリッピング)と顎間ゴム(エラスティック)を併用してマウスピース型矯正装置(インビザライン)にて治療を行いました。
| 主訴 | ガタガタ、出っ歯、横顔(口元が出ている)、かみ合わせが深い、笑った時の歯茎の見え方 |
|---|---|
| 年齢/性別 | 20代/女性 |
| 抜歯部位 | 非抜歯 |
| 使用装置 | マウスピース型矯正装置(インビザライン) |
| 治療期間 | 1年8ヶ月 |
| リテーナー | 上LBR、下LBR、上ラップアラウンドリテーナー、下ラップアラウンドリテーナー |
- 歯根吸収(歯の根が短くなる症状)
- 歯肉退縮(歯肉が下がる症状)
- アンキローシス(歯と歯を支える骨が癒着し歯が動かなくなる)
- 失活(歯の神経が壊死してしまう状態)
- 顎関節症(顎の痛み)
| 検査・診断料 | 33,000円 |
|---|---|
| 矯正料金 | 1,100,000円 |
| 処置料 | 3,300円 × 16回 |
| 主訴 | ガタガタ、出っ歯 |
|---|---|
| 年齢/性別 | 10代/女性 |
| 抜歯部位 | 非抜歯 |
| 使用装置 | マウスピース型矯正装置(インビザライン) |
| 治療期間 | 1年7ヶ月 |
| リテーナー | 上LBR、下LBR、上ラップアラウンドリテーナー、下ラップアラウンドリテーナー |
- 歯根吸収(歯の根が短くなる症状)
- 歯肉退縮(歯肉が下がる症状)
- アンキローシス(歯と歯を支える骨が癒着し歯が動かなくなる)
- 失活(歯の神経が壊死してしまう状態)
- 顎関節症(顎の痛み)
| 検査・診断料 | 33,000円 |
|---|---|
| 矯正料金 | 1,100,000円 |
| 処置料 | 3,300円 × 15回 |
| 主訴 | ガタガタ |
|---|---|
| 年齢/性別 | 20代/女性 |
| 抜歯部位 | 非抜歯 |
| 使用装置 | マウスピース型矯正装置(インビザライン) |
| 治療期間 | 1年4ヶ月 |
| リテーナー | 上LBR、下LBR |
- 歯根吸収(歯の根が短くなる症状)
- 歯肉退縮(歯肉が下がる症状)
- アンキローシス(歯と歯を支える骨が癒着し歯が動かなくなる)
- 失活(歯の神経が壊死してしまう状態)
- 顎関節症(顎の痛み)
| 検査・診断料 | 33,000円 |
|---|---|
| 矯正料金 | 1,100,000円 |
| 処置料 | 3,300円 × 13回 |
| 主訴 | 開咬(前歯が咬んでない) |
|---|---|
| 年齢/性別 | 10代/女性 |
| 抜歯部位 | 非抜歯 |
| 使用装置 | マウスピース型矯正装置(インビザライン) |
| 治療期間 | 1年0ヶ月 |
| リテーナー | 上LBR、上ラップアラウンドリテーナー、下ラップアラウンドリテーナー |
- 歯根吸収(歯の根が短くなる症状)
- 歯肉退縮(歯肉が下がる症状)
- アンキローシス(歯と歯を支える骨が癒着し歯が動かなくなる)
- 失活(歯の神経が壊死してしまう状態)
- 顎関節症(顎の痛み)
| 検査・診断料 | 33,000円 |
|---|---|
| 矯正料金 | 1,100,000円 |
| 処置料 | 3,300円 × 11回 |
ガタガタを主訴に当院を受診され、上下に叢生(ガタガタ)を認めました。
IPR(ストリッピング)と顎間ゴム(エラスティック)を併用してマウスピース型矯正装置(インビザライン)を使用し叢生の改善を行いました。
| 主訴 | ガタガタ、出っ歯 |
|---|---|
| 年齢/性別 | 20代/女性 |
| 抜歯部位 | 非抜歯 |
| 使用装置 | マウスピース型矯正装置(インビザライン) |
| 治療期間 | 2年8ヶ月 |
| リテーナー | 上LBR、下LBR、上ラップアラウンドリテーナー、下ラップアラウンドリテーナー |
- 歯根吸収(歯の根が短くなる症状)
- 歯肉退縮(歯肉が下がる症状)
- アンキローシス(歯と歯を支える骨が癒着し歯が動かなくなる)
- 失活(歯の神経が壊死してしまう状態)
- 顎関節症(顎の痛み)
| 検査・診断料 | 11,000円 |
|---|---|
| 矯正料金 | 1,100,000円 |
| 処置料 | 3,300円 × 17回 |
| 主訴 | 出っ歯、横顔(口元が出ている) |
|---|---|
| 年齢/性別 | 10代/女性 |
| 抜歯部位 | 初診時から矯正治療中のご来院。他院にて上顎左右4番EXT済みだった。 |
| 使用装置 | マウスピース型矯正装置(インビザライン) |
| 治療期間 | 2年6ヶ月 |
| リテーナー | 上LBR、下LBR、上ラップアラウンドリテーナー、下ラップアラウンドリテーナー |
- 歯根吸収(歯の根が短くなる症状)
- 歯肉退縮(歯肉が下がる症状)
- アンキローシス(歯と歯を支える骨が癒着し歯が動かなくなる)
- 失活(歯の神経が壊死してしまう状態)
- 顎関節症(顎の痛み)
| 検査・診断料 | 11,000円 |
|---|---|
| 矯正料金 | 880,000円 |
| 処置料 | 3,300円 × 23回 |
ガタガタを主訴に当院を受診され、上下に叢生(ガタガタ)と過蓋咬合(かみ合わせが深い状態)認めました。
IPR(ストリッピング)と顎間ゴム(エラスティック)を併用してマウスピース型矯正装置(インビザライン)を使用し叢生の改善を行いました。
| 主訴 | ガタガタ |
|---|---|
| 年齢/性別 | 10代/男性 |
| 抜歯部位 | 非抜歯 |
| 使用装置 | マウスピース型矯正装置(インビザライン) |
| 治療期間 | 2年8ヶ月 |
| リテーナー | 上ラップアラウンドリテーナー、下顎ホーレータイプ |
- 歯根吸収(歯の根が短くなる症状)
- 歯肉退縮(歯肉が下がる症状)
- アンキローシス(歯と歯を支える骨が癒着し歯が動かなくなる)
- 失活(歯の神経が壊死してしまう状態)
- 顎関節症(顎の痛み)
| 検査・診断料 | 11,000円 |
|---|---|
| 矯正料金 | 1,100,000円 |
| 処置料 | 3,300円 × 21回 |
前歯のガタガタと前歯のすき間を主訴に当院を受診され、上顎前歯に空隙、下顎前歯に叢生(ガタガタ)を認めました。
マウスピース型矯正装置(インビザライン)にて上顎前歯の空隙閉鎖と下顎前歯の叢生の改善を行いました。
リテーナー(後戻り防止装置)の使用も良好で、治療して終了後も良好なあ咬合状態を維持しています。
| 主訴 | ガタガタ、空隙歯列 |
|---|---|
| 年齢/性別 | 10代/女性 |
| 抜歯部位 | 非抜歯 |
| 使用装置 | マウスピース型矯正装置(インビザライン)、カリエール |
| 治療期間 | 3年7ヶ月 |
| リテーナー | 上LBR、下LBR、上ラップアラウンドリテーナー、下ラップアラウンドリテーナー |
- 歯根吸収(歯の根が短くなる症状)
- 歯肉退縮(歯肉が下がる症状)
- アンキローシス(歯と歯を支える骨が癒着し歯が動かなくなる)
- 失活(歯の神経が壊死してしまう状態)
- 顎関節症(顎の痛み)
| 検査・診断料 | 10,800円 |
|---|---|
| 矯正料金 | 972,000円 |
| 処置料 | 3,300円 × 17回 |
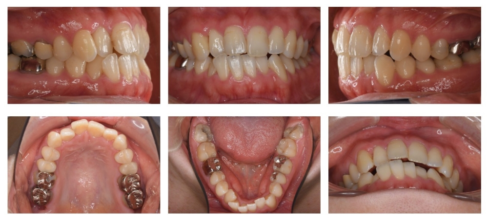
右上の奥歯が萌えてこないことを主訴に当院を受診され、上下顎前歯部に若干のガタガタを認めました。
マルチブラケット装置にて隙間を獲得した後、埋まっている奥歯の牽引・配列を行いました。リテーナー(後戻り防止装置)を使用しながら、現在でも良好な歯列と噛み合わせを維持しております。
| 主訴 | 左上奥歯が生えてこない |
|---|---|
| 年齢/性別 | 10代/女性 |
| 抜歯部位 | 非抜歯 |
| 使用装置 | ブラケット(ラビアル) |
| 治療期間 | 2年5ヶ月 |
| リテーナー | 上LBR、下LBR、上ラップアラウンドリテーナー、下ラップアラウンドリテーナー |
- 歯根吸収(歯の根が短くなる症状)
- 歯肉退縮(歯肉が下がる症状)
- アンキローシス(歯と歯を支える骨が癒着し歯が動かなくなる)
- 失活(歯の神経が壊死してしまう状態)
- 顎関節症(顎の痛み)
| 検査・診断料 | 10,800円 |
|---|---|
| 矯正料金 | 1,026,000円 |
| 処置料 | 3,300円 × 15回 |
ガタガタを主訴に当院を受診され、上下顎前歯部に叢生(ガタガタ)、特に上顎左右犬歯の低位唇側転位を認めました。上顎左右側第一小臼歯の抜歯を行い、マウスピース型矯正装置(インビザライン)と顎間ゴムを併用して治療を行いました。
| 主訴 | ガタガタ、開咬(前歯が咬んでない) |
|---|---|
| 年齢/性別 | 20代/女性 |
| 抜歯部位 | 上下左右4番 |
| 使用装置 | マウスピース型矯正装置(インビザライン)、LA |
| 治療期間 | 3年7ヶ月 |
| リテーナー | 上LBR、下LBR、上ラップアラウンドリテーナー、下ラップアラウンドリテーナー |
- 歯根吸収(歯の根が短くなる症状)
- 歯肉退縮(歯肉が下がる症状)
- アンキローシス(歯と歯を支える骨が癒着し歯が動かなくなる)
- 失活(歯の神経が壊死してしまう状態)
- 顎関節症(顎の痛み)
| 検査・診断料 | 10,800円 |
|---|---|
| 矯正料金 | 1,026,000円 |
| 処置料 | 3,300円 × 24回 |
前歯のガタガタを主訴に当院を受診され、上下の前歯に叢生(ガタガタ)を認めました。
上顎右側第一小臼歯のみ抜歯をして、マウスピース型矯正装置(インビザライン)にて治療を行いました。
治療後、上下前歯の叢生が改善しました。
| 主訴 | ガタガタ |
|---|---|
| 年齢/性別 | 30代/女性 |
| 抜歯部位 | 右上4番 |
| 使用装置 | マウスピース型矯正装置(インビザライン)、カリエール |
| 治療期間 | 4年8ヶ月 |
| リテーナー | 上LBR、下LBR、上ラップアラウンドリテーナー、下ラップアラウンドリテーナー |
- 歯根吸収(歯の根が短くなる症状)
- 歯肉退縮(歯肉が下がる症状)
- アンキローシス(歯と歯を支える骨が癒着し歯が動かなくなる)
- 失活(歯の神経が壊死してしまう状態)
- 顎関節症(顎の痛み)
| 検査・診断料 | 10,800円 |
|---|---|
| 矯正料金 | 1,026,000円 |
| 処置料 | 3,300円 × 26回 |
上の前歯の突出と上下顎前歯のガタガタを主訴に当院を受診されました。
左右の奥歯がシザースバイト(上の奥歯が外側に位置しているため下の奥歯とすれ違っている状態)であったため、リンガルアーチ(裏側装着する装置)にて改善し、その後マルチブラケット装置にて、上下顎の小臼歯を抜歯し、上の前歯の突出と上下顎前歯のガタガタを改善しました。
| 主訴 | ガタガタ、出っ歯、開咬(前歯が咬んでない) |
|---|---|
| 年齢/性別 | 10代/女性 |
| 抜歯部位 | 上下左右4番 |
| 使用装置 | ハーフリンガル、カリエール、LA、ペンデュラム |
| 治療期間 | 4年4ヶ月 |
| リテーナー | 上LBR、下LBR、上クリアリテーナー、下クリアリテーナー |
- 歯根吸収(歯の根が短くなる症状)
- 歯肉退縮(歯肉が下がる症状)
- アンキローシス(歯と歯を支える骨が癒着し歯が動かなくなる)
- 失活(歯の神経が壊死してしまう状態)
- 顎関節症(顎の痛み)
| 検査・診断料 | 10,800円 |
|---|---|
| 矯正料金 | 1,026,000円 |
| 処置料 | 3,300円 × 46回 |
出っ歯(前歯が噛んでいない)を主訴に当院を受診され、上顎前歯の唇側傾斜と上下前歯の叢生(ガタガタ)を認めました。
患者様は非抜歯での治療を希望された多雨、IPR(ストリッピング)併用したマウスピース型矯正装置(インビザライン)を用いて治療を行いました。
治療後、草生の改善と上顎前歯の傾き(歯軸)が改善しました。
| 主訴 | 出っ歯、開咬(前歯が咬んでない) |
|---|---|
| 年齢/性別 | 20代/女性 |
| 抜歯部位 | 非抜歯 |
| 使用装置 | マウスピース型矯正装置(インビザライン)、カリエール |
| 治療期間 | 3年4ヶ月 |
| リテーナー | 上LBR、下LBR、上ラップアラウンドリテーナー、下ラップアラウンドリテーナー |
- 歯根吸収(歯の根が短くなる症状)
- 歯肉退縮(歯肉が下がる症状)
- アンキローシス(歯と歯を支える骨が癒着し歯が動かなくなる)
- 失活(歯の神経が壊死してしまう状態)
- 顎関節症(顎の痛み)
| 検査・診断料 | 10,800円 |
|---|---|
| 矯正料金 | 1,026,000円 |
| 処置料 | 3,300円 × 26回 |
前歯の突出と歯並びのガタガタを主訴に当院を受診されました。
上下顎前歯部にガタガタが認められ、上顎前歯の突出のためお口を閉じることが困難な状態でした。上下顎の臼歯の抜歯し、マルチブラケット装置にて上下顎歯を排列し、上下顎前歯を奥に移動させ、良好な嚙み合わせと自然な口唇閉鎖を獲得することができました。
| 主訴 | ガタガタ |
|---|---|
| 年齢/性別 | 10代/男性 |
| 抜歯部位 | 上下左右4番 |
| 使用装置 | ブラケット(ラビアル)、カリエール |
| 治療期間 | 3年5ヶ月 |
| リテーナー | 上LBR、下LBR、上ラップアラウンドリテーナー、下ラップアラウンドリテーナー |
- 歯根吸収(歯の根が短くなる症状)
- 歯肉退縮(歯肉が下がる症状)
- アンキローシス(歯と歯を支える骨が癒着し歯が動かなくなる)
- 失活(歯の神経が壊死してしまう状態)
- 顎関節症(顎の痛み)
| 検査・診断料 | 10,800円 |
|---|---|
| 矯正料金 | 1,026,000円 |
| 処置料 | 3,300円 × 33回 |
ガタガタ、出っ歯、横顔(口元が出ている)ことを主訴に当院を受診されました。
叢生(ガタガタ)、上顎前突(上下の前歯同士の段差が大きい状態)、口唇閉鎖機能不全を認めたため、上下顎左右側第一小臼歯を抜歯し治療を行いました。抜歯スペースの閉鎖をマルチブラケット装置にて行い、微調整はマウスピース型矯正装置(インビザライン)にて行いました。
| 主訴 | ガタガタ、出っ歯、横顔(口元が出ている) |
|---|---|
| 年齢/性別 | 20代/女性 |
| 抜歯部位 | 上下左右4番 |
| 使用装置 | ブラケット(ラビアル)、マウスピース型矯正装置(インビザライン)、カリエール |
| 治療期間 | 4年2ヶ月 |
| リテーナー | 上LBR、下LBR、上ラップアラウンドリテーナー、下ラップアラウンドリテーナー |
- 歯根吸収(歯の根が短くなる症状)
- 歯肉退縮(歯肉が下がる症状)
- アンキローシス(歯と歯を支える骨が癒着し歯が動かなくなる)
- 失活(歯の神経が壊死してしまう状態)
- 顎関節症(顎の痛み)
| 検査・診断料 | 10,800円 |
|---|---|
| 矯正料金 | 1,026,000円 |
| 処置料 | 3,300円 × 33回 |
八重歯を主訴に当院を受診され、過蓋咬合(上の歯が下の歯を深く覆いかぶさっている状態)と叢生(ガタガタ)、下顎左側1番に先天性欠損を認めました。
過蓋咬合の改善をマルチブラケット装置にて行い、叢生の改善をマウスピース型矯正装置(インビザライン)を用いて治療を行いました。
| 主訴 | 癒合歯 |
|---|---|
| 年齢/性別 | 10代/女性 |
| 抜歯部位 | 非抜歯 |
| 使用装置 | マウスピース型矯正装置(インビザライン)、セクショナルアーチ(部分的なワイヤー装置)*部分矯正は除く |
| 治療期間 | 3年11か月 |
| リテーナー | 上LBR、下LBR、上ラップアラウンドリテーナー、下ラップアラウンドリテーナー |
- 歯根吸収(歯の根が短くなる症状)
- 歯肉退縮(歯肉が下がる症状)
- アンキローシス(歯と歯を支える骨が癒着し歯が動かなくなる)
- 失活(歯の神経が壊死してしまう状態)
- 顎関節症(顎の痛み)
| 検査・診断料 | 10,800円 |
|---|---|
| 矯正料金 | 1,026,000円 |
| 処置料 | 3,300円 × 26回 |
出っ歯を主訴に当院を受診され、上顎前突(上下の前歯同士の段差が大きい状態)と口唇閉鎖機能不全、上顎前歯部に空隙を認めました。
まずⅡ級カリエールにて上顎大臼歯の遠心移動を行い、その後顎間ゴム(エラスティック)を併用してマウスピース型矯正装置(インビザライン)にて上顎前突と上顎前歯部の空隙の閉鎖を行いました。
| 主訴 | 空隙歯列 |
|---|---|
| 年齢/性別 | 10代/女性 |
| 抜歯部位 | 非抜歯 |
| 使用装置 | マウスピース型矯正装置(インビザライン)、カリエール、BN |
| 治療期間 | 3年11か月 |
| リテーナー | 上LBR、下LBR、上QCM、下QCM |
- 歯根吸収(歯の根が短くなる症状)
- 歯肉退縮(歯肉が下がる症状)
- アンキローシス(歯と歯を支える骨が癒着し歯が動かなくなる)
- 失活(歯の神経が壊死してしまう状態)
- 顎関節症(顎の痛み)
| 検査・診断料 | 10,800円 |
|---|---|
| 矯正料金 | 1,026,000円 |
| 処置料 | 3,300円 × 23回 |
八重歯を主訴に当院を受診され、上顎前歯の叢生(ガタガタ)と上顎右側犬歯の低位唇側転位を認めました。
マウスピース型矯正装置(インビザライン)とエラスティックを併用し治療を行いました。
| 主訴 | 八重歯 |
|---|---|
| 年齢/性別 | 10代/女性 |
| 抜歯部位 | 非抜歯 |
| 使用装置 | マウスピース型矯正装置(インビザライン)、カリエール |
| 治療期間 | 4年9か月 |
| リテーナー | 上LBR、下LBR、上ラップアラウンドリテーナー、下ラップアラウンドリテーナー |
- 歯根吸収(歯の根が短くなる症状)
- 歯肉退縮(歯肉が下がる症状)
- アンキローシス(歯と歯を支える骨が癒着し歯が動かなくなる)
- 失活(歯の神経が壊死してしまう状態)
- 顎関節症(顎の痛み)
| 検査・診断料 | 10,800円 |
|---|---|
| 矯正料金 | 972,000円 |
| 処置料 | 3,300円 × 19回 |
前歯のガタガタを主訴に当院を受診され、上顎前歯部の叢生(ガタガタ)、交叉咬合(かみ合わせが一部交叉している状態)、下顎右側1番に先天性欠損を認めました。
マルチブラケット装置や固定式装置を併用し、最終的にはマウスピース型矯正装置(インビザライン)を用いて治療を行いました。
| 主訴 | ガタガタ |
|---|---|
| 年齢/性別 | 10代/女性 |
| 抜歯部位 | 非抜歯 |
| 使用装置 | マウスピース型矯正装置(インビザライン)、セクショナルアーチ(部分的なワイヤー装置)*部分矯正は除く、カリエール、LA |
| 治療期間 | 3年11か月 |
| リテーナー | 上LBR、下LBR、上ラップアラウンドリテーナー、下ラップアラウンドリテーナー |
- 歯根吸収(歯の根が短くなる症状)
- 歯肉退縮(歯肉が下がる症状)
- アンキローシス(歯と歯を支える骨が癒着し歯が動かなくなる)
- 失活(歯の神経が壊死してしまう状態)
- 顎関節症(顎の痛み)
| 検査・診断料 | 10,800円 |
|---|---|
| 矯正料金 | 1,026,000円 |
| 処置料 | 3,300円 × 24回 |
歯のすき間を主訴に当院を受診され、上下前歯部に空隙と下顎右側2番に先天性欠損を認めました。
マウスピース型矯正装置(インビザライン)を使用し、空隙閉鎖を行いました。
| 主訴 | 空隙歯列 |
|---|---|
| 年齢/性別 | 10代/女性 |
| 抜歯部位 | 非抜歯 |
| 使用装置 | マウスピース型矯正装置(インビザライン) |
| 治療期間 | 1年8ヶ月 |
| リテーナー | 上LBR、下LBR、上ラップアラウンドリテーナー、下ラップアラウンドリテーナー |
- 歯根吸収(歯の根が短くなる症状)
- 歯肉退縮(歯肉が下がる症状)
- アンキローシス(歯と歯を支える骨が癒着し歯が動かなくなる)
- 失活(歯の神経が壊死してしまう状態)
- 顎関節症(顎の痛み)
| 検査・診断料 | 10,800円 |
|---|---|
| 矯正料金 | 1,026,000円 |
| 処置料 | 3,300円 × 11回 |
出っ歯の改善を主訴に当院を受診され、上顎前突(上下の前歯同士の段差が大きい状態)と叢生(ガタガタ)を認めました。
患者様は非抜歯での治療を望まれたため、IPR(ストリッピング)を併用し、マウスピース型矯正装置(インビザライン)で上顎前突と叢生の改善を行いました。
| 主訴 | 出っ歯 |
|---|---|
| 年齢/性別 | 10代/女性 |
| 抜歯部位 | 非抜歯 |
| 使用装置 | マウスピース型矯正装置(インビザライン)、カリエール |
| 治療期間 | 4年5ヶ月 |
| リテーナー | 下LBR、上ラップアラウンドリテーナー、下ラップアラウンドリテーナー |
- 歯根吸収(歯の根が短くなる症状)
- 歯肉退縮(歯肉が下がる症状)
- アンキローシス(歯と歯を支える骨が癒着し歯が動かなくなる)
- 失活(歯の神経が壊死してしまう状態)
- 顎関節症(顎の痛み)
| 検査・診断料 | 10,800円 |
|---|---|
| 矯正料金 | 1,026,000円 |
| 処置料 | 3,300円 × 26回 |
矯正治療後の後戻りと前歯の突出感の残存を主訴に当院を受診されました。
患者様は9歳頃より矯正歯科治療をご経験済で、上顎の小臼歯がすでに抜歯されており上下顎前歯部は嚙み合っていない状態でした。
マルチブラケット装置にて上下顎歯が噛み合うよう移動させました。その結果、良好な歯列と嚙み合わせを獲得することができました。
| 主訴 | ガタガタ |
|---|---|
| 年齢/性別 | 20代/女性 |
| 抜歯部位 | 非抜歯 |
| 使用装置 | ブラケット(ラビアル) |
| 治療期間 | 2年 |
| リテーナー | 上LBR、下LBR、上ラップアラウンドリテーナー、下ラップアラウンドリテーナー |
- 歯根吸収(歯の根が短くなる症状)
- 歯肉退縮(歯肉が下がる症状)
- アンキローシス(歯と歯を支える骨が癒着し歯が動かなくなる)
- 失活(歯の神経が壊死してしまう状態)
- 顎関節症(顎の痛み)
| 検査・診断料 | 10,800円 |
|---|---|
| 矯正料金 | 1,026,000円 |
| 処置料 | 3,300円 × 29回 |
前歯のガタガタと下顎の前突感を主訴に当院を受診されました。
左上の前歯が奥に位置しており、下顎の前歯が前にでている状態でした。マルチブラケット装置にて左上の歯を前に、下顎の前歯は奥に移動させました。その結果、適正な前歯の被蓋と良好な歯列となりバランスの取れた獲得することができました。
| 主訴 | 横顔(口元が出ている)、前歯 |
|---|---|
| 年齢/性別 | 20代/女性 |
| 抜歯部位 | 非抜歯 |
| 使用装置 | ハーフリンガル、QH |
| 治療期間 | 2年6ヶ月 |
| リテーナー | 上LBR、下LBR、上ラップアラウンドリテーナー、下ラップアラウンドリテーナー |
- 歯根吸収(歯の根が短くなる症状)
- 歯肉退縮(歯肉が下がる症状)
- アンキローシス(歯と歯を支える骨が癒着し歯が動かなくなる)
- 失活(歯の神経が壊死してしまう状態)
- 顎関節症(顎の痛み)
| 検査・診断料 | 10,800円 |
|---|---|
| 矯正料金 | 1,026,000円 |
| 処置料 | 3,300円 × 25回 |
ガタガタを主訴に当院を受診され、上下前歯の叢生(ガタガタ)と過蓋咬合(上の歯が下の歯を深く覆い被さっている状態)を認めました。
IPR(ストリッピング)を併用し、マウスピース型矯正装置(インビザライン)を用いて治療を行いました。
| 主訴 | ガタガタ |
|---|---|
| 年齢/性別 | 10代/女性 |
| 抜歯部位 | 非抜歯 |
| 使用装置 | マウスピース型矯正装置(インビザライン) |
| 治療期間 | 2年11ヶ月 |
| リテーナー | 上LBR、下LBR、上ラップアラウンドリテーナー、下ラップアラウンドリテーナー |
- 歯根吸収(歯の根が短くなる症状)
- 歯肉退縮(歯肉が下がる症状)
- アンキローシス(歯と歯を支える骨が癒着し歯が動かなくなる)
- 失活(歯の神経が壊死してしまう状態)
- 顎関節症(顎の痛み)
| 検査・診断料 | 10,800円 |
|---|---|
| 矯正料金 | 1,026,000円 |
| 処置料 | 3,300円 × 25回 |
受け口、開咬(前歯が咬んでいない)、横顔(口元が出ている)ことを主訴に当院を受診されました。上下顎左右第一小臼歯を抜歯し、まずはハーフリンガルにて、抜歯スペースの閉鎖を行い、微調整をマウスピース型矯正装置(インビザライン)にて行いました。
| 主訴 | 横顔(口元が出ている)、かみ合わせが深い、開咬(前歯が咬んでない)、受け口 |
|---|---|
| 年齢/性別 | 20代/女性 |
| 抜歯部位 | 上下左右4番 |
| 使用装置 | ハーフリンガル、マウスピース型矯正装置(インビザライン)、RPE |
| 治療期間 | 3年4ヶ月 |
| リテーナー | 上LBR、下LBR、上ラップアラウンドリテーナー、下ラップアラウンドリテーナー |
- 歯根吸収(歯の根が短くなる症状)
- 歯肉退縮(歯肉が下がる症状)
- アンキローシス(歯と歯を支える骨が癒着し歯が動かなくなる)
- 失活(歯の神経が壊死してしまう状態)
- 顎関節症(顎の痛み)
| 検査・診断料 | 10,800円 |
|---|---|
| 矯正料金 | 1,026,000円 |
| 処置料 | 3,300円 × 38回 |
ガタガタを主訴に当院を受診され、上顎前歯の叢生(ガタガタ)と過蓋咬合(上の歯が下の歯を深く覆い被さっている状態)を認めました。
マルチブラケット装置とマウスピース型矯正装置(インビザライン)を併用して治療を行いました。
| 主訴 | ガタガタ |
|---|---|
| 年齢/性別 | 10代/女性 |
| 抜歯部位 | 非抜歯 |
| 使用装置 | マウスピース型矯正装置(インビザライン)、セクショナルアーチ(部分的なワイヤー装置)*部分矯正は除く、リップバンパー |
| 治療期間 | 3年7ヶ月 |
| リテーナー | 上LBR、下LBR、上ラップアラウンドリテーナー、下ラップアラウンドリテーナー |
- 歯根吸収(歯の根が短くなる症状)
- 歯肉退縮(歯肉が下がる症状)
- アンキローシス(歯と歯を支える骨が癒着し歯が動かなくなる)
- 失活(歯の神経が壊死してしまう状態)
- 顎関節症(顎の痛み)
| 検査・診断料 | 10,800円 |
|---|---|
| 矯正料金 | 1,026,000円 |
| 処置料 | 3,300円 × 24回 |
ガタガタを主訴に当院を受診され、上顎前歯の叢生(ガタガタ)を認めました。
IPR(ストリッピング)とマウスピース型矯正装置(インビザライン)を併用して叢生の改善を行いました。
| 主訴 | 出っ歯、空隙歯列 |
|---|---|
| 年齢/性別 | 30代/男性 |
| 抜歯部位 | 非抜歯 |
| 使用装置 | マウスピース型矯正装置(インビザライン)、セクショナルアーチ(部分的なワイヤー装置)*部分矯正は除く、カリエール |
| 治療期間 | 4年1ヶ月 |
| リテーナー | 上LBR、上下クリアリテーナー |
- 歯根吸収(歯の根が短くなる症状)
- 歯肉退縮(歯肉が下がる症状)
- アンキローシス(歯と歯を支える骨が癒着し歯が動かなくなる)
- 失活(歯の神経が壊死してしまう状態)
- 顎関節症(顎の痛み)
| 検査・診断料 | 10,800円 |
|---|---|
| 矯正料金 | 1,026,000円 |
| 処置料 | 3,300円 × 33回 |
ガタガタ、出っ歯を主訴に当院を受診され、上下顎前歯部の叢生(ガタガタ)、上顎右側2番の口蓋側転位を認めました。
IPR(ストリッピング)を併用し、マウスピース型矯正装置(インビザライン)を用いて叢生の改善を行いました。
| 主訴 | ガタガタ、出っ歯 |
|---|---|
| 年齢/性別 | 20代/女性 |
| 抜歯部位 | 非抜歯 |
| 使用装置 | マウスピース型矯正装置(インビザライン)、カリエール |
| 治療期間 | 3年3ヶ月 |
| リテーナー | 上LBR、下LBR、上ラップアラウンドリテーナー、下ラップアラウンドリテーナー |
- 歯根吸収(歯の根が短くなる症状)
- 歯肉退縮(歯肉が下がる症状)
- アンキローシス(歯と歯を支える骨が癒着し歯が動かなくなる)
- 失活(歯の神経が壊死してしまう状態)
- 顎関節症(顎の痛み)
| 検査・診断料 | 10,800円 |
|---|---|
| 矯正料金 | 1,026,000円 |
| 処置料 | 3,300円 × 29回 |
ガタガタを主訴に当院を受診され、上下顎前歯部の叢生(ガタガタ)、上顎左側前歯部の交叉咬合を認めました。
IPR(ストリッピング)を併用し、マウスピース型矯正装置(インビザライン)を用いて叢生の改善を行いました。
| 主訴 | ガタガタ |
|---|---|
| 年齢/性別 | 20代/男性 |
| 抜歯部位 | 非抜歯 |
| 使用装置 | マウスピース型矯正装置(インビザライン) |
| 治療期間 | 2年8ヶ月 |
| リテーナー | 上LBR、下LBR、上ラップアラウンドリテーナー、下ラップアラウンドリテーナー |
- 歯根吸収(歯の根が短くなる症状)
- 歯肉退縮(歯肉が下がる症状)
- アンキローシス(歯と歯を支える骨が癒着し歯が動かなくなる)
- 失活(歯の神経が壊死してしまう状態)
- 顎関節症(顎の痛み)
| 検査・診断料 | 10,800円 |
|---|---|
| 矯正料金 | 1,026,000円 |
| 処置料 | 3,300円 × 25回 |
出っ歯を主訴に当院を受診され、上下顎前歯部の叢生(ガタガタ)と下顎右側1番に先天性欠損を認めました。
IPR(ストリッピング)を併用し、マウスピース型矯正装置(インビザライン)を用いて叢生の改善を行いました。
| 主訴 | 出っ歯 |
|---|---|
| 年齢/性別 | 20代/女性 |
| 抜歯部位 | 非抜歯 |
| 使用装置 | マウスピース型矯正装置(インビザライン) |
| 治療期間 | 2年2ヶ月 |
| リテーナー | 上LBR、下LBR、上ラップアラウンドリテーナー、下ラップアラウンドリテーナー |
- 歯根吸収(歯の根が短くなる症状)
- 歯肉退縮(歯肉が下がる症状)
- アンキローシス(歯と歯を支える骨が癒着し歯が動かなくなる)
- 失活(歯の神経が壊死してしまう状態)
- 顎関節症(顎の痛み)
| 検査・診断料 | 10,800円 |
|---|---|
| 矯正料金 | 1,026,000円 |
| 処置料 | 3,300円 × 21回 |
ガタガタを主訴に当院を受診され、上下顎前歯部の叢生(ガタガタ)と下顎左側2番に先天性欠損を認めました。
IPR(ストリッピング)を併用し、マウスピース型矯正装置(インビザライン)を用いて叢生の改善を行いました。
| 主訴 | ガタガタ |
|---|---|
| 年齢/性別 | 10代/女性 |
| 抜歯部位 | 非抜歯 |
| 使用装置 | マウスピース型矯正装置(インビザライン) |
| 治療期間 | 2年10ヶ月 |
| リテーナー | 上LBR、下LBR、上ラップアラウンドリテーナー、下ラップアラウンドリテーナー |
- 歯根吸収(歯の根が短くなる症状)
- 歯肉退縮(歯肉が下がる症状)
- アンキローシス(歯と歯を支える骨が癒着し歯が動かなくなる)
- 失活(歯の神経が壊死してしまう状態)
- 顎関節症(顎の痛み)
| 検査・診断料 | 10,800円 |
|---|---|
| 矯正料金 | 1,026,000円 |
| 処置料 | 3,300円 × 25回 |
出っ歯を主訴に当院を受診され、上顎前突(上下の前歯同士の段差が大きい状態)と叢生(ガタガタ)、下顎右側1番に先天性欠損を認めました。
患者様は非抜歯での治療を希望されたため、IPR(ストリッピング)を併用し、マウスピース型矯正装置(インビザライン)を用いて上顎前突と叢生の改善を行いました。
| 主訴 | 出っ歯、口を自然に閉じることができない |
|---|---|
| 年齢/性別 | 20代/女性 |
| 抜歯部位 | 非抜歯 |
| 使用装置 | マウスピース型矯正装置(インビザライン)、頬側スクリュー |
| 治療期間 | 2年9ヶ月 |
| リテーナー | 上LBR、下LBR、上ラップアラウンドリテーナー、下ラップアラウンドリテーナー |
- 歯根吸収(歯の根が短くなる症状)
- 歯肉退縮(歯肉が下がる症状)
- アンキローシス(歯と歯を支える骨が癒着し歯が動かなくなる)
- 失活(歯の神経が壊死してしまう状態)
- 顎関節症(顎の痛み)
| 検査・診断料 | 10,800円 |
|---|---|
| 矯正料金 | 1,026,000円 |
| 処置料 | 3,300円 × 34回 |
前歯が噛んでいないことと前歯の突出を主訴に当院を受診されました。
奥歯が噛んだ状態でも前歯に接触がなく、上の前歯の突出もが認められました。上下顎の小臼歯を抜歯しマルチブラケット装置にて上下の前歯を中に移動させることにより前歯の接触を獲得し、良好な口元となりました。
| 主訴 | 出っ歯、横顔(口元が出ている)、かみ合わせが深い、開咬(前歯が咬んでない)、笑った時の歯茎の見え方 |
|---|---|
| 年齢/性別 | 20代/女性 |
| 抜歯部位 | 上下左右4番 |
| 使用装置 | ハーフリンガル、マウスピース型矯正装置(インビザライン) |
| 治療期間 | 2年9ヶ月 |
| リテーナー | 上LBR、下LBR、上クリアリテーナー、下クリアリテーナー |
- 歯根吸収(歯の根が短くなる症状)
- 歯肉退縮(歯肉が下がる症状)
- アンキローシス(歯と歯を支える骨が癒着し歯が動かなくなる)
- 失活(歯の神経が壊死してしまう状態)
- 顎関節症(顎の痛み)
| 検査・診断料 | 10,800円 |
|---|---|
| 矯正料金 | 1,026,000円 |
| 処置料 | 3,300円 × 39回 |
ガタガタを主訴に当院を受診され、上顎前突(上下の前歯同士の段差が大きい状態)と叢生(ガタガタ)を認めました。
患者様は非抜歯での治療を希望されたため、IPR(ストリッピング)を併用し、マウスピース型矯正装置(インビザライン)を用いて上顎前突と叢生の改善を行いました。
| 主訴 | ガタガタ |
|---|---|
| 年齢/性別 | 40代/女性 |
| 抜歯部位 | 非抜歯 |
| 使用装置 | マウスピース型矯正装置(インビザライン) |
| 治療期間 | 1年6ヶ月 |
| リテーナー | 上LBR、下LBR、上ラップアラウンドリテーナー、上QCM、下QCM |
- 歯根吸収(歯の根が短くなる症状)
- 歯肉退縮(歯肉が下がる症状)
- アンキローシス(歯と歯を支える骨が癒着し歯が動かなくなる)
- 失活(歯の神経が壊死してしまう状態)
- 顎関節症(顎の痛み)
| 検査・診断料 | 10,800円 |
|---|---|
| 矯正料金 | 1,026,000円 |
| 処置料 | 3,300円 × 16回 |
ガタガタを主訴に当院を受診され、上顎前突(上下の前歯同士の段差が大きい状態)と叢生(ガタガタ)を認めました。
患者様は非抜歯での治療を希望されたため、IPR(ストリッピング)を併用し、マウスピース型矯正装置(インビザライン)を用いて上顎前突と叢生の改善を行いました。
| 主訴 | ガタガタ、上顎前歯捻転 |
|---|---|
| 年齢/性別 | 30代/女性 |
| 抜歯部位 | 非抜歯 |
| 使用装置 | マウスピース型矯正装置(インビザライン) |
| 治療期間 | 2年8ヶ月 |
| リテーナー | 下LBR、上ラップアラウンドリテーナー、下ラップアラウンドリテーナー |
- 歯根吸収(歯の根が短くなる症状)
- 歯肉退縮(歯肉が下がる症状)
- アンキローシス(歯と歯を支える骨が癒着し歯が動かなくなる)
- 失活(歯の神経が壊死してしまう状態)
- 顎関節症(顎の痛み)
| 検査・診断料 | 10,800円 |
|---|---|
| 矯正料金 | 1,026,000円 |
| 処置料 | 3,300円 × 23回 |
噛み合わせが深いことを主訴に当院を受診され、上下前歯部に叢生(ガタガタ)と上下の前歯は交叉咬合(部分的に逆の噛み合わせになっている状態)を認めました。
| 主訴 | かみ合わせが深い |
|---|---|
| 年齢/性別 | 20代/男性 |
| 抜歯部位 | 非抜歯 |
| 使用装置 | マウスピース型矯正装置(インビザライン)、セクショナルアーチ(部分的なワイヤー装置)*部分矯正は除く |
| 治療期間 | 3年4ヶ月 |
| リテーナー | 上LBR、下LBR、上クリアリテーナー、下クリアリテーナー |
- 歯根吸収(歯の根が短くなる症状)
- 歯肉退縮(歯肉が下がる症状)
- アンキローシス(歯と歯を支える骨が癒着し歯が動かなくなる)
- 失活(歯の神経が壊死してしまう状態)
- 顎関節症(顎の痛み)
| 検査・診断料 | 10,800円 |
|---|---|
| 矯正料金 | 1,026,000円 |
| 処置料 | 3,300円 × 29回 |
空隙歯列を主訴に当院を受診され、上顎前歯部に叢生(ガタガタ)を認めました。
IPR(ストリッピング)を併用し、マウスピース型矯正装置(インビザライン)を用いて上顎前突と叢生の改善を行いました。
| 主訴 | 空隙歯列 |
|---|---|
| 年齢/性別 | 20代/女性 |
| 抜歯部位 | 非抜歯 |
| 使用装置 | マウスピース型矯正装置(インビザライン) |
| 治療期間 | 2年3ヶ月 |
| リテーナー | 上LBR、下LBR、上ラップアラウンドリテーナー、下ラップアラウンドリテーナー |
- 歯根吸収(歯の根が短くなる症状)
- 歯肉退縮(歯肉が下がる症状)
- アンキローシス(歯と歯を支える骨が癒着し歯が動かなくなる)
- 失活(歯の神経が壊死してしまう状態)
- 顎関節症(顎の痛み)
| 検査・診断料 | 11,000円 |
|---|---|
| 矯正料金 | 1,100,000円 |
| 処置料 | 3,300円 × 22回 |
ガタガタと出っ歯を主訴に当院を受診され、上顎前突と開咬をを認めました。
患者様は非抜歯での治療を希望されたため、歯科矯正用アンカースクリューを併用し、マウスピース型矯正装置(インビザライン)を用いて上顎前突と開咬の改善を行いました。
| 主訴 | ガタガタ、出っ歯 |
|---|---|
| 年齢/性別 | 10代/女性 |
| 抜歯部位 | 非抜歯 |
| 使用装置 | マウスピース型矯正装置(インビザライン)、ベネスライダー、口蓋スクリュー |
| 治療期間 | 2年10ヶ月 |
| リテーナー | 上LBR、下LBR、上ラップアラウンドリテーナー、下ラップアラウンドリテーナー |
- 歯根吸収(歯の根が短くなる症状)
- 歯肉退縮(歯肉が下がる症状)
- アンキローシス(歯と歯を支える骨が癒着し歯が動かなくなる)
- 失活(歯の神経が壊死してしまう状態)
- 顎関節症(顎の痛み)
| 検査・診断料 | 11,000円 |
|---|---|
| 矯正料金 | 1,100,000円 |
| 処置料 | 3,300円 × 29回 |
前歯の重なりと左奥歯のかみ合わせを主訴に当院を受診され、上下顎前歯部に軽度の叢生(ガタガタ)を認めました。IPR(ストリッピング)と顎間ゴム(エラスティック)を併用してマウスピース型矯正装置(インビザライン)にて叢生の改善を行いました。
| 主訴 | 前歯と左奥歯の歯並び |
|---|---|
| 年齢/性別 | 10代/男性 |
| 抜歯部位 | 非抜歯 |
| 使用装置 | マウスピース型矯正装置(インビザライン) |
| 治療期間 | 2年9ヶ月 |
| リテーナー | 上LBR、下LBR、上ラップアラウンドリテーナー、下ラップアラウンドリテーナー |
- 歯根吸収(歯の根が短くなる症状)
- 歯肉退縮(歯肉が下がる症状)
- アンキローシス(歯と歯を支える骨が癒着し歯が動かなくなる)
- 失活(歯の神経が壊死してしまう状態)
- 顎関節症(顎の痛み)
| 検査・診断料 | 11,000円 |
|---|---|
| 矯正料金 | 1,100,000円 |
| 処置料 | 3,300円 × 21回 |
前歯の隙間(空隙歯列)を主訴に当院を受診され、上顎左右1番同士の間に空隙を認めました。 IPR(ストリッピング)と顎間ゴム(エラスティック)を併用してマウスピース型矯正装置(インビザライン)を用いて治療を行いました。治療により上顎前歯部の空隙は閉鎖されました。
| 主訴 | 空隙歯列 |
|---|---|
| 年齢/性別 | 40代/男性 |
| 抜歯部位 | 非抜歯 |
| 使用装置 | マウスピース型矯正装置(インビザライン) |
| 治療期間 | 2年10ヶ月 |
| リテーナー | 上LBR、下LBR、上ラップアラウンドリテーナー、下ラップアラウンドリテーナー |
- 歯根吸収(歯の根が短くなる症状)
- 歯肉退縮(歯肉が下がる症状)
- アンキローシス(歯と歯を支える骨が癒着し歯が動かなくなる)
- 失活(歯の神経が壊死してしまう状態)
- 顎関節症(顎の痛み)
| 検査・診断料 | 11,000円 |
|---|---|
| 矯正料金 | 1,100,000円 |
| 処置料 | 3,300円 × 24回 |
ガタガタを主訴に当院を受診され、上下顎前歯部に叢生(ガタガタ)を認めました。
IPR(ストリッピング)と顎間ゴム(エラスティック)を併用してマウスピース型矯正装置(インビザライン)にて治療を行いました。
| 主訴 | ガタガタ、親知らず |
|---|---|
| 年齢/性別 | 20代/女性 |
| 抜歯部位 | 非抜歯 |
| 使用装置 | マウスピース型矯正装置(インビザライン) |
| 治療期間 | 2年2ヶ月 |
| リテーナー | 上LBR、下LBR、上ラップアラウンドリテーナー、下ラップアラウンドリテーナー |
- 歯根吸収(歯の根が短くなる症状)
- 歯肉退縮(歯肉が下がる症状)
- アンキローシス(歯と歯を支える骨が癒着し歯が動かなくなる)
- 失活(歯の神経が壊死してしまう状態)
- 顎関節症(顎の痛み)
| 検査・診断料 | 11,000円 |
|---|---|
| 矯正料金 | 1,100,000円 |
| 処置料 | 3,300円 × 19回 |
八重歯と下顎の前突感主訴に当院を受診されました。
八重歯とともに上の2番目前歯が内側にあり、上の歯列の真ん中が左にずれていることが認められました。上下顎の小臼歯を抜歯しマルチブラケット装置にて前歯のガタガタを改善し、歯列の真ん中を合わせました。その結果、左右均等な良好な噛み合わせが獲得できました。
| 主訴 | ガタガタ、受け口、八重歯 |
|---|---|
| 年齢/性別 | 20代/女性 |
| 抜歯部位 | 上下左右4番 |
| 使用装置 | ブラケット(ラビアル)、RPE |
| 治療期間 | 3年3ヶ月 |
| リテーナー | 上LBR、下LBR、上ラップアラウンドリテーナー、下ラップアラウンドリテーナー |
- 歯根吸収(歯の根が短くなる症状)
- 歯肉退縮(歯肉が下がる症状)
- アンキローシス(歯と歯を支える骨が癒着し歯が動かなくなる)
- 失活(歯の神経が壊死してしまう状態)
- 顎関節症(顎の痛み)
| 検査・診断料 | 10,800円 |
|---|---|
| 矯正料金 | 1,026,000円 |
| 処置料 | 3,300円 × 43回 |
前歯の突出とすきっ歯を主訴に当院を受診されました。
上の前歯が著しく前方に位置しており、歯の間に隙間が残存いている状態でありました。上下顎の小臼歯を抜歯してマルチブラケット装置にて上の前歯を奥に移動させました。その結果、前歯の突出が改善され良好な嚙み合わせとバランスの取れた横顔に改善されました。
| 主訴 | 出っ歯 |
|---|---|
| 年齢/性別 | 20代/女性 |
| 抜歯部位 | 上下左右4番 |
| 使用装置 | ブラケット(ラビアル) |
| 治療期間 | 3年5ヶ月 |
| リテーナー | 上LBR、下LBR、上ラップアラウンドリテーナー、下ラップアラウンドリテーナー |
- 歯根吸収(歯の根が短くなる症状)
- 歯肉退縮(歯肉が下がる症状)
- アンキローシス(歯と歯を支える骨が癒着し歯が動かなくなる)
- 失活(歯の神経が壊死してしまう状態)
- 顎関節症(顎の痛み)
| 検査・診断料 | 10,800円 |
|---|---|
| 矯正料金 | 1,026,000円 |
| 処置料 | 3,300円 × 44回 |
| 主訴 | 横顔(口元が出ている) 、歯茎が見える |
|---|---|
| 年齢/性別 | 10代/女性 |
| 抜歯部位 | 上下左右4番 |
| 使用装置 | フルリンガル 、マウスピース型矯正装置(インビザライン) |
| 治療期間 | 2年9ヶ月 |
| リテーナー | 上LBR 、下LBR 、上ラップアラウンドリテーナー 、下ラップアラウンドリテーナー |
- 歯根吸収(歯の根が短くなる症状)
- 歯肉退縮(歯肉が下がる症状)
- アンキローシス(歯と歯を支える骨が癒着し歯が動かなくなる)
- 失活(歯の神経が壊死してしまう状態)
- 顎関節症(顎の痛み)
| 検査・診断料 | 10,800円 |
|---|---|
| 矯正料金 | 1,404,000円 |
| 処置料 | 3,300円 × 42回 |
前歯と口元の突出を主訴に当院を受診されました。
上下顎の前歯が著しく前方に傾斜しており、お口を閉じても唇の隙間から前歯が見えてしまう状態でありました。上下顎の小臼歯を抜歯してマルチブラケット装置にて上下の前歯を奥に移動させました。その結果、前歯の突出が改善され良好な嚙み合わせとバランスの取れた横顔に改善されました。
| 主訴 | 出っ歯、横顔(口元が出ている) |
|---|---|
| 年齢/性別 | 20代/女性 |
| 抜歯部位 | 上下左右4番 |
| 使用装置 | ブラケット(ラビアル) |
| 治療期間 | 2年11ヶ月 |
| リテーナー | 上LBR、下LBR、上ラップアラウンドリテーナー、下ラップアラウンドリテーナー |
- 歯根吸収(歯の根が短くなる症状)
- 歯肉退縮(歯肉が下がる症状)
- アンキローシス(歯と歯を支える骨が癒着し歯が動かなくなる)
- 失活(歯の神経が壊死してしまう状態)
- 顎関節症(顎の痛み)
| 検査・診断料 | 10,800円 |
|---|---|
| 矯正料金 | 1,026,000円 |
| 処置料 | 3,300円 × 39回 |
前歯の突出とガタガタを主訴に当院を受診されました。
上の前歯が突出しており、上下の前歯にガタガタが認められました。上下顎の小臼歯を抜歯してマルチブラケット装置にて上したの前歯を奥に移動させるとともに歯並びを整えました。その結果、前歯の突出が改善され良好な嚙み合わせとバランスの取れた横顔に改善されました。
| 主訴 | 出っ歯、横顔(口元が出ている)、笑った時の歯茎の見え方 |
|---|---|
| 年齢/性別 | 20代/女性 |
| 抜歯部位 | 上下左右4番 |
| 使用装置 | ブラケット(ラビアル) |
| 治療期間 | 3年2ヶ月 |
| リテーナー | 上LBR、下LBR、上ラップアラウンドリテーナー、下ラップアラウンドリテーナー |
- 歯根吸収(歯の根が短くなる症状)
- 歯肉退縮(歯肉が下がる症状)
- アンキローシス(歯と歯を支える骨が癒着し歯が動かなくなる)
- 失活(歯の神経が壊死してしまう状態)
- 顎関節症(顎の痛み)
| 検査・診断料 | 11,000円 |
|---|---|
| 矯正料金 | 1,100,000円 |
| 処置料 | 3,300円 × 40回 |
前歯の突出とガタガタを主訴に当院を受診されました。
上の前歯は著しく前上方に位置しており、2番目の歯とほぼ完全に重なった状態でした。下の前歯のガタガタも認められました。上顎の小臼歯を抜歯しマルチブラケット装置にて上下の前歯を中に移動させることにより歯並びを整え、良好な口元となりました。
| 主訴 | 出っ歯 |
|---|---|
| 年齢/性別 | 10代/女性 |
| 抜歯部位 | 上左右4番 |
| 使用装置 | ブラケット(ラビアル) |
| 治療期間 | 2年5ヶ月 |
| リテーナー | 上LBR、下LBR、上ラップアラウンドリテーナー、下ラップアラウンドリテーナー |
- 歯根吸収(歯の根が短くなる症状)
- 歯肉退縮(歯肉が下がる症状)
- アンキローシス(歯と歯を支える骨が癒着し歯が動かなくなる)
- 失活(歯の神経が壊死してしまう状態)
- 顎関節症(顎の痛み)
| 検査・診断料 | 11,000円 |
|---|---|
| 矯正料金 | 1,100,000円 |
| 処置料 | 3,300円 × 27回 |
前歯の突出とガタガタを主訴に当院を受診されました。
上の前歯が突出しており、上下の前歯にガタガタが認められました。上顎の小臼歯を抜歯してマルチブラケット装置にて上の前歯を奥に移動させるとともに歯並びを整えました。その結果、前歯の突出が改善され良好な嚙み合わせとバランスの取れた横顔に改善されました。
| 主訴 | 出っ歯、開咬(前歯が咬んでない)、笑った時の歯茎の見え方 |
|---|---|
| 年齢/性別 | 20代/女性 |
| 抜歯部位 | 上左右4番 |
| 使用装置 | ブラケット(ラビアル)、口蓋スクリュー |
| 治療期間 | 2年0ヶ月 |
| リテーナー | 上LBR、下LBR、上ラップアラウンドリテーナー、下ラップアラウンドリテーナー |
- 歯根吸収(歯の根が短くなる症状)
- 歯肉退縮(歯肉が下がる症状)
- アンキローシス(歯と歯を支える骨が癒着し歯が動かなくなる)
- 失活(歯の神経が壊死してしまう状態)
- 顎関節症(顎の痛み)
| 検査・診断料 | 11,000円 |
|---|---|
| 矯正料金 | 1,100,000円 |
| 処置料 | 3,300円 × 34回 |
前歯突出とガタガタを主訴に当院を受診されました。
上顎の前歯が前方に傾斜しており、上下顎前歯に著しいガタガタも認められました。上下顎の小臼歯を抜歯してマルチブラケット装置にて上下の前歯を整えました。その結果、前歯の突出が改善され良好な嚙み合わせとバランスの取れた横顔に改善されました。
| 主訴 | ガタガタ、八重歯 |
|---|---|
| 年齢/性別 | 30代/女性 |
| 抜歯部位 | 上下左右4番 |
| 使用装置 | マウスピース型矯正装置(インビザライン)、セクショナルアーチ(部分的なワイヤー装置)*部分矯正は除く、口蓋スクリュー、LA |
| 治療期間 | 1年9ヶ月 |
| リテーナー | 上LBR、下LBR、上ラップアラウンドリテーナー、下ラップアラウンドリテーナー |
- 歯根吸収(歯の根が短くなる症状)
- 歯肉退縮(歯肉が下がる症状)
- アンキローシス(歯と歯を支える骨が癒着し歯が動かなくなる)
- 失活(歯の神経が壊死してしまう状態)
- 顎関節症(顎の痛み)
| 検査・診断料 | 11,000円 |
|---|---|
| 矯正料金 | 1,100,000円 |
| 処置料 | 3,300円 × 21回 |
前歯の突出と噛んでいないことを主訴に当院を受診されました。
上の前歯は著しく突出しており、奥歯が噛んでも前歯は接触しない状態でした。また、奥歯のほとんどが修復歯でした。上下顎の小臼歯を抜歯しマルチブラケット装置にて奥歯の修復歯にかかる負担を軽減するため主に上下の前歯を移動させることにより歯並びを整えました。
| 主訴 | ガタガタ、出っ歯、開咬(前歯が咬んでない) |
|---|---|
| 年齢/性別 | 50代/女性 |
| 抜歯部位 | 上下左右4番 |
| 使用装置 | ブラケット(ラビアル) |
| 治療期間 | 2年4ヶ月 |
| リテーナー | 上LBR、下LBR、上ラップアラウンドリテーナー |
- 歯根吸収(歯の根が短くなる症状)
- 歯肉退縮(歯肉が下がる症状)
- アンキローシス(歯と歯を支える骨が癒着し歯が動かなくなる)
- 失活(歯の神経が壊死してしまう状態)
- 顎関節症(顎の痛み)
| 検査・診断料 | 11,000円 |
|---|---|
| 矯正料金 | 1,100,000円 |
| 処置料 | 3,300円 × 31回 |
前歯が咬んでいないことを主訴に当院を受診されました。
上下顎前歯部に叢生(ガタガタ)と口元の突出を認めました。上下顎左右側第一小臼歯を抜歯し、フルリンガルにて叢生の改善、抜歯スペースの閉鎖を行い、微調整をマウスピース型矯正装置(インビザライン)にて行いました。
| 主訴 | 横顔(口元が出ている)、受け口 |
|---|---|
| 年齢/性別 | 20代/男性 |
| 抜歯部位 | 下顎左右8番、上下左右4番 |
| 使用装置 | フルリンガル、マウスピース型矯正装置(インビザライン)、カリエール、QH |
| 治療期間 | 4年3ヶ月 |
| リテーナー | 上LBR、下LBR、上クリアリテーナー、下クリアリテーナー |
- 歯根吸収(歯の根が短くなる症状)
- 歯肉退縮(歯肉が下がる症状)
- アンキローシス(歯と歯を支える骨が癒着し歯が動かなくなる)
- 失活(歯の神経が壊死してしまう状態)
- 顎関節症(顎の痛み)
| 検査・診断料 | 10,800円 |
|---|---|
| 矯正料金 | 1,404,000円 |
| 処置料 | 3,300円 × 42回 |
前歯突出と隙間を主訴に当院を受診されました。
下の前歯に対して上の前歯が著しく前方に位置しており、いわゆるすきっ歯の状態でありました。上顎の小臼歯を抜歯しマルチブラケット装置にて上の前歯を奥に移動させました。その結果、前歯の突出が改善され適正な前歯の被蓋と良好な嚙み合わせを獲得することができました。
| 主訴 | 出っ歯 |
|---|---|
| 年齢/性別 | 20代/女性 |
| 抜歯部位 | 上顎左右4番 |
| 使用装置 | ブラケット(ラビアル) |
| 治療期間 | 2年11ヶ月 |
| リテーナー | 上LBR、下LBR、上QCM、下QCM |
- 歯根吸収(歯の根が短くなる症状)
- 歯肉退縮(歯肉が下がる症状)
- アンキローシス(歯と歯を支える骨が癒着し歯が動かなくなる)
- 失活(歯の神経が壊死してしまう状態)
- 顎関節症(顎の痛み)
| 検査・診断料 | 10,800円 |
|---|---|
| 矯正料金 | 718,200円 |
| 処置料 | 3,300円 × 23回 |
| 主訴 | ガタガタ |
|---|---|
| 年齢/性別 | 20代/男性 |
| 抜歯部位 | 上顎左右4番 |
| 使用装置 | ブラケット(ラビアル)、マウスピース型矯正装置(インビザライン)、カリエール、QH |
| 治療期間 | 3年7ヶ月 |
| リテーナー | 上LBR、下LBR、 |
- 歯根吸収(歯の根が短くなる症状)
- 歯肉退縮(歯肉が下がる症状)
- アンキローシス(歯と歯を支える骨が癒着し歯が動かなくなる)
- 失活(歯の神経が壊死してしまう状態)
- 顎関節症(顎の痛み)
| 検査・診断料 | 10,800円 |
|---|---|
| 矯正料金 | 1,026,000円 |
| 処置料 | 3,300円 × 40回 |
前歯の突出とガタガタを主訴に当院を受診されました。
前歯の嚙み合わせが深く、下の歯は2本の歯がくっついた状態(癒合歯)でありました。上顎の小臼歯を抜歯しマルチブラケット装置にて上の歯を奥に移動させ、上下顎の歯並びを整えました。その結果、適正な前歯の被蓋と良好な歯列を獲得することができました。
| 主訴 | 出っ歯とガタガタ |
|---|---|
| 年齢/性別 | 10代/女性 |
| 抜歯部位 | 上顎左右4番 |
| 使用装置 | ブラケット(ラビアル) |
| 治療期間 | 3年 |
| リテーナー | 上LBR、下LBR、上ラップアラウンドリテーナー、下ラップアラウンドリテーナー |
- 歯根吸収(歯の根が短くなる症状)
- 歯肉退縮(歯肉が下がる症状)
- アンキローシス(歯と歯を支える骨が癒着し歯が動かなくなる)
- 失活(歯の神経が壊死してしまう状態)
- 顎関節症(顎の痛み)
| 検査・診断料 | 10,800円 |
|---|---|
| 矯正料金 | 1,026,000円 |
| 処置料 | 3,300円 × 31回 |
前歯の突出を主訴に当院を受診されました。
上下顎の前歯に若干のガタガタが認められ、前歯の嚙み合わせが深い状態でありました。上顎の小臼歯を抜歯しマルチブラケット装置にて上の歯を奥に、移動させ、上下顎の歯並びを整えました。その結果、適正な前歯の被蓋と良好な歯列を獲得することができました。
| 主訴 | 出っ歯 |
|---|---|
| 年齢/性別 | 10代/女性 |
| 抜歯部位 | 上下左右8番、上顎左右4番 |
| 使用装置 | ブラケット(ラビアル) |
| 治療期間 | 2年5ヶ月 |
| リテーナー | 上LBR;下LBR;上ラップアラウンドリテーナー;下ラップアラウンドリテーナー |
- 歯根吸収(歯の根が短くなる症状)
- 歯肉退縮(歯肉が下がる症状)
- アンキローシス(歯と歯を支える骨が癒着し歯が動かなくなる)
- 失活(歯の神経が壊死してしまう状態)
- 顎関節症(顎の痛み)
| 検査・診断料 | 10,800円 |
|---|---|
| 矯正料金 | 1,026,000円 |
| 処置料 | 3,300円 × 28回 |
前歯の突出とガタガタを主訴に当院を受診されました。
上の前歯が内側に倒れており深い嚙み合わせが認められました。また、下の前歯2本が先天的に欠如していました。上顎の小臼歯を抜歯しマルチブラケット装置にて前歯のガタガタを改善し、上の前歯を上方に、下の前歯を下方に移動させることで噛み合わせを改善いたしました。
| 主訴 | ガタガタ、出っ歯 |
|---|---|
| 年齢/性別 | 30代/女性 |
| 抜歯部位 | 右上4番、左上4番 |
| 使用装置 | ブラケット(ラビアル)、口蓋スクリュー、GMD、AGPB |
| 治療期間 | 3年4ヶ月 |
| リテーナー | 上LBR、下LBR、上ラップアラウンドリテーナー、下ラップアラウンドリテーナー |
- 歯根吸収(歯の根が短くなる症状)
- 歯肉退縮(歯肉が下がる症状)
- アンキローシス(歯と歯を支える骨が癒着し歯が動かなくなる)
- 失活(歯の神経が壊死してしまう状態)
- 顎関節症(顎の痛み)
| 検査・診断料 | 10,800円 |
|---|---|
| 矯正料金 | 1,026,000円 |
| 処置料 | 3,300円 × 41回 |
| 主訴 | ガタガタ |
|---|---|
| 年齢/性別 | 30代/女性 |
| 抜歯部位 | 上下左右4番 |
| 使用装置 | マウスピース型矯正装置(インビザライン)、セクショナルアーチ(部分的なワイヤー装置)*部分矯正は除く、LA |
| 治療期間 | 3年7ヶ月 |
| リテーナー | 上LBR、下LBR、上クリアリテーナー、下クリアリテーナー |
- 歯根吸収(歯の根が短くなる症状)
- 歯肉退縮(歯肉が下がる症状)
- アンキローシス(歯と歯を支える骨が癒着し歯が動かなくなる)
- 失活(歯の神経が壊死してしまう状態)
- 顎関節症(顎の痛み)
| 検査・診断料 | 10,800円 |
|---|---|
| 矯正料金 | 1,026,000円 |
| 処置料 | 3,300円 × 34回 |
前歯の突出とガタガタを主訴に当院を受診されました。
上の前歯が突出し、上下の前歯が左方に傾き著しいガタガタが認められました。上下顎の小臼歯を抜歯しマルチブラケット装置にて上下の前歯を内側に移動させるとともにガタガタを改善しました。その結果、適正な前歯の被蓋と良好な歯列を獲得することができました。
| 主訴 | ガタガタ、出っ歯、横顔(口元が出ている)、開咬(前歯が咬んでない) |
|---|---|
| 年齢/性別 | 30代/女性 |
| 抜歯部位 | 上下左右4番 |
| 使用装置 | ブラケット(ラビアル) |
| 治療期間 | 3年0ヶ月 |
| リテーナー | 上LBR、下LBR、上ラップアラウンドリテーナー、下ラップアラウンドリテーナー |
- 歯根吸収(歯の根が短くなる症状)
- 歯肉退縮(歯肉が下がる症状)
- アンキローシス(歯と歯を支える骨が癒着し歯が動かなくなる)
- 失活(歯の神経が壊死してしまう状態)
- 顎関節症(顎の痛み)
| 検査・診断料 | 10,800円 |
|---|---|
| 矯正料金 | 918,000円 |
| 処置料 | 3,300円 × 36回 |
前歯のガタガタと突出感を主訴に当院を受診されました。
患者様は他院にて矯正治療を受診されており、後戻りによるガタガタと前歯の突出の残存および歯列の真ん中が合っていないことを気にされおりました。最初に歯科矯正用アンカースクリューを応用した矯正装置にて上の奥歯をさらに奥に移動させた後、右下の小臼歯を抜歯しマルチブラケット装置にて前歯のガタガタを改善し、上の前歯を内側に移動させました。その結果、前歯の突出感が改善し、良好な横顔に改善されました。
| 主訴 | ガタガタ、出っ歯、開咬(前歯が咬んでない) |
|---|---|
| 年齢/性別 | 20代/女性 |
| 抜歯部位 | 右下4番 |
| 使用装置 | ブラケット(ラビアル)、ベネスライダー、ペンデュラム |
| 治療期間 | 3年4ヶ月 |
| リテーナー | 上LBR、下LBR、上ラップアラウンドリテーナー、下ラップアラウンドリテーナー |
- 歯根吸収(歯の根が短くなる症状)
- 歯肉退縮(歯肉が下がる症状)
- アンキローシス(歯と歯を支える骨が癒着し歯が動かなくなる)
- 失活(歯の神経が壊死してしまう状態)
- 顎関節症(顎の痛み)
| 検査・診断料 | 10,800円 |
|---|---|
| 矯正料金 | 1,026,000円 |
| 処置料 | 3,300円 × 42回 |
| 主訴 | ガタガタ |
|---|---|
| 年齢/性別 | 10代/男性 |
| 抜歯部位 | 右下4番 |
| 使用装置 | アライナー(インビザライン), BN |
| 治療期間 | 5年6ヶ月 |
| リテーナー | 上LBR, 下LBR, 上クリアリテーナー, 下クリアリテーナー |
- 歯根吸収(歯の根が短くなる症状)
- 歯肉退縮(歯肉が下がる症状)
- アンキローシス(歯と歯を支える骨が癒着し歯が動かなくなる)
- 失活(歯の神経が壊死してしまう状態)
- 顎関節症(顎の痛み)
| 検査・診断料 | 33,000円 |
|---|---|
| 矯正料金 | 1,100,000円 |
| 処置料 | 3,300円 × 34回 |
| 主訴 | ガタガタ |
|---|---|
| 年齢/性別 | 10代/女性 |
| 抜歯部位 | 非抜歯 |
| 使用装置 | ブラケット(ラビアル), アライナー(インビザライン), カリエール |
| 治療期間 | 6年2か月 |
| リテーナー | 上LBR, 下LBR, 上クリアリテーナー, 下クリアリテーナー |
- 歯根吸収(歯の根が短くなる症状)
- 歯肉退縮(歯肉が下がる症状)
- アンキローシス(歯と歯を支える骨が癒着し歯が動かなくなる)
- 失活(歯の神経が壊死してしまう状態)
- 顎関節症(顎の痛み)
| 検査・診断料 | 33,000円 |
|---|---|
| 矯正料金 | 1,100,000円 |
| 処置料 | 3,300円 × 35回 |
| 主訴 | 横顔(口元が出ている), 空隙歯列, 受け口 |
|---|---|
| 年齢/性別 | 30代/男性 |
| 抜歯部位 | 非抜歯 |
| 使用装置 | ブラケット(ラビアル) |
| 治療期間 | 3年1ヶ月 |
| リテーナー | 上クリアリテーナー, 下クリアリテーナー |
- 歯根吸収(歯の根が短くなる症状)
- 歯肉退縮(歯肉が下がる症状)
- アンキローシス(歯と歯を支える骨が癒着し歯が動かなくなる)
- 失活(歯の神経が壊死してしまう状態)
- 顎関節症(顎の痛み)
| 検査・診断料 | 33,000円 |
|---|---|
| 矯正料金 | 1,100,000円 |
| 処置料 | 3,300円 × 26回 |
| 主訴 | ガタガタ, かみ合わせが深い |
|---|---|
| 年齢/性別 | 20代/女性 |
| 抜歯部位 | 非抜歯 |
| 使用装置 | アライナー(インビザライン) |
| 治療期間 | 3年11ヶ月 |
| リテーナー | 上LBR, 下LBR, 上クリアリテーナー, 下クリアリテーナー |
- 歯根吸収(歯の根が短くなる症状)
- 歯肉退縮(歯肉が下がる症状)
- アンキローシス(歯と歯を支える骨が癒着し歯が動かなくなる)
- 失活(歯の神経が壊死してしまう状態)
- 顎関節症(顎の痛み)
| 検査・診断料 | 33,000円 |
|---|---|
| 矯正料金 | 1,100,000円 |
| 処置料 | 3,300円 × 34回 |
| 主訴 | ガタガタ, 出っ歯, 横顔(口元が出ている) |
|---|---|
| 年齢/性別 | 30代/女性 |
| 抜歯部位 | 右下2番、左下4番、上顎左右4番 |
| 使用装置 | ブラケット(ラビアル), ベネスライダー, 口蓋スクリュー |
| 治療期間 | 4年4ヶ月 |
| リテーナー | 上LBR, 上クリアリテーナー, 下クリアリテーナー |
- 歯根吸収(歯の根が短くなる症状)
- 歯肉退縮(歯肉が下がる症状)
- アンキローシス(歯と歯を支える骨が癒着し歯が動かなくなる)
- 失活(歯の神経が壊死してしまう状態)
- 顎関節症(顎の痛み)
| 検査・診断料 | 33,000円 |
|---|---|
| 矯正料金 | 1,100,000円 |
| 処置料 | 3,300円 × 54回 |
| 主訴 | 八重歯 |
|---|---|
| 年齢/性別 | 40代/女性 |
| 抜歯部位 | 右上4番 |
| 使用装置 | アライナー(インビザライン) |
| 治療期間 | 3年10ヶ月 |
| リテーナー | 上LBR, 下LBR, 上クリアリテーナー, 下クリアリテーナー |
- 歯根吸収(歯の根が短くなる症状)
- 歯肉退縮(歯肉が下がる症状)
- アンキローシス(歯と歯を支える骨が癒着し歯が動かなくなる)
- 失活(歯の神経が壊死してしまう状態)
- 顎関節症(顎の痛み)
| 検査・診断料 | 33,000円 |
|---|---|
| 矯正料金 | 1,100,000円 |
| 処置料 | 3,300円 × 30回 |
| 主訴 | ガタガタ, 開咬(前歯が咬んでない), 空隙歯列 |
|---|---|
| 年齢/性別 | 20代/男性 |
| 抜歯部位 | 非抜歯 |
| 使用装置 | アライナー(インビザライン) |
| 治療期間 | 2年9ヶ月 |
| リテーナー | 上クリアリテーナー, 下クリアリテーナー |
- 歯根吸収(歯の根が短くなる症状)
- 歯肉退縮(歯肉が下がる症状)
- アンキローシス(歯と歯を支える骨が癒着し歯が動かなくなる)
- 失活(歯の神経が壊死してしまう状態)
- 顎関節症(顎の痛み)
| 検査・診断料 | 33,000円 |
|---|---|
| 矯正料金 | 1,100,000円 |
| 処置料 | 3,300円 × 20回 |
| 主訴 | ガタガタ |
|---|---|
| 年齢/性別 | 20代/男性 |
| 抜歯部位 | 右上4番 |
| 使用装置 | アライナー(インビザライン), 頬側スクリュー |
| 治療期間 | 3年9カ月 |
| リテーナー | 上LBR, 下LBR, 上クリアリテーナー, 下クリアリテーナー |
- 歯根吸収(歯の根が短くなる症状)
- 歯肉退縮(歯肉が下がる症状)
- アンキローシス(歯と歯を支える骨が癒着し歯が動かなくなる)
- 失活(歯の神経が壊死してしまう状態)
- 顎関節症(顎の痛み)
| 検査・診断料 | 33,000円 |
|---|---|
| 矯正料金 | 1,100,000円 |
| 処置料 | 3,300円 × 31回 |
| 主訴 | ガタガタ |
|---|---|
| 年齢/性別 | 30代/男性 |
| 抜歯部位 | 非抜歯 |
| 使用装置 | アライナー(インビザライン), カリエール |
| 治療期間 | 4年3ヶ月 |
| リテーナー | 上LBR, 下LBR, 上クリアリテーナー, 下クリアリテーナー |
- 歯根吸収(歯の根が短くなる症状)
- 歯肉退縮(歯肉が下がる症状)
- アンキローシス(歯と歯を支える骨が癒着し歯が動かなくなる)
- 失活(歯の神経が壊死してしまう状態)
- 顎関節症(顎の痛み)
| 検査・診断料 | 33,000円 |
|---|---|
| 矯正料金 | 1,100,000円 |
| 処置料 | 3,300円 × 34回 |
| 主訴 | 未記入 |
|---|---|
| 年齢/性別 | 10代/女性 |
| 抜歯部位 | 非抜歯 |
| 使用装置 | アライナー(インビザライン), LB |
| 治療期間 | 4年5ヶ月 |
| リテーナー | 下LBR, 上クリアリテーナー, 下クリアリテーナー |
- 歯根吸収(歯の根が短くなる症状)
- 歯肉退縮(歯肉が下がる症状)
- アンキローシス(歯と歯を支える骨が癒着し歯が動かなくなる)
- 失活(歯の神経が壊死してしまう状態)
- 顎関節症(顎の痛み)
| 検査・診断料 | 33,000円 |
|---|---|
| 矯正料金 | 1,100,000円 |
| 処置料 | 3,300円 × 32回 |
| 主訴 | ガタガタ |
|---|---|
| 年齢/性別 | 20代/女性 |
| 抜歯部位 | 非抜歯 |
| 使用装置 | アライナー(インビザライン) |
| 治療期間 | 4年8ヶ月 |
| リテーナー | 上LBR, 下LBR, 上クリアリテーナー, 下クリアリテーナー |
- 歯根吸収(歯の根が短くなる症状)
- 歯肉退縮(歯肉が下がる症状)
- アンキローシス(歯と歯を支える骨が癒着し歯が動かなくなる)
- 失活(歯の神経が壊死してしまう状態)
- 顎関節症(顎の痛み)
| 検査・診断料 | 33,000円 |
|---|---|
| 矯正料金 | 1,100,000円 |
| 処置料 | 3,300円 × 3回 |
| 主訴 | ガタガタ |
|---|---|
| 年齢/性別 | 20代/女性 |
| 抜歯部位 | 上顎左右4番 |
| 使用装置 | ブラケット(ラビアル), アライナー(インビザライン) |
| 治療期間 | 4年7ヶ月 |
| リテーナー | 上LBR, 下LBR, 上クリアリテーナー, 下クリアリテーナー |
- 歯根吸収(歯の根が短くなる症状)
- 歯肉退縮(歯肉が下がる症状)
- アンキローシス(歯と歯を支える骨が癒着し歯が動かなくなる)
- 失活(歯の神経が壊死してしまう状態)
- 顎関節症(顎の痛み)
| 検査・診断料 | 33,000円 |
|---|---|
| 矯正料金 | 1,100,000円 |
| 処置料 | 3,300円 × 48回 |
| 主訴 | 出っ歯 |
|---|---|
| 年齢/性別 | 20代/女性 |
| 抜歯部位 | 下顎左右4番上顎左右4番 |
| 使用装置 | ブラケット(ラビアル), アライナー(インビザライン), ベネスライダー, RPE |
| 治療期間 | 4年7ヶ月 |
| リテーナー | 上LBR, 下LBR, 上クリアリテーナー, 下クリアリテーナー |
- 歯根吸収(歯の根が短くなる症状)
- 歯肉退縮(歯肉が下がる症状)
- アンキローシス(歯と歯を支える骨が癒着し歯が動かなくなる)
- 失活(歯の神経が壊死してしまう状態)
- 顎関節症(顎の痛み)
| 検査・診断料 | 33,000円 |
|---|---|
| 矯正料金 | 1,100,000円 |
| 処置料 | 3,300円 × 55回 |
| 主訴 | 出っ歯 |
|---|---|
| 年齢/性別 | 8才/女性 |
| 抜歯部位 | 非抜歯 |
| 使用装置 | アライナー(インビザライン), 拡大床、BN |
| 治療期間 | 4年7ヶ月 |
| リテーナー | 上LBR, 下LBR, 上クリアリテーナー, 下クリアリテーナー |
- 歯根吸収(歯の根が短くなる症状)
- 歯肉退縮(歯肉が下がる症状)
- アンキローシス(歯と歯を支える骨が癒着し歯が動かなくなる)
- 失活(歯の神経が壊死してしまう状態)
- 顎関節症(顎の痛み)
| 検査・診断料 | 33,000円 |
|---|---|
| 矯正料金 | 1,100,000円 |
| 処置料 | 3,300円 × 32回 |
| 主訴 | 出っ歯, 空隙歯列, 笑った時の歯茎の見え方, ちょっとしゃくれがある |
|---|---|
| 年齢/性別 | 20代/女性 |
| 抜歯部位 | 非抜歯 |
| 使用装置 | アライナー(インビザライン) |
| 治療期間 | 4年4ヶ月 |
| リテーナー | 下LBR, 下クリアリテーナー |
- 歯根吸収(歯の根が短くなる症状)
- 歯肉退縮(歯肉が下がる症状)
- アンキローシス(歯と歯を支える骨が癒着し歯が動かなくなる)
- 失活(歯の神経が壊死してしまう状態)
- 顎関節症(顎の痛み)
| 検査・診断料 | 33,000円 |
|---|---|
| 矯正料金 | 1,100,000円 |
| 処置料 | 3,300円 × 39回 |
| 主訴 | 横顔(口元が出ている), 受け口 |
|---|---|
| 年齢/性別 | 20代/女性 |
| 抜歯部位 | 非抜歯 |
| 使用装置 | アライナー(インビザライン) |
| 治療期間 | 3年6ヶ月 |
| リテーナー | 上LBR, 下LBR, 上クリアリテーナー, 下クリアリテーナー |
- 歯根吸収(歯の根が短くなる症状)
- 歯肉退縮(歯肉が下がる症状)
- アンキローシス(歯と歯を支える骨が癒着し歯が動かなくなる)
- 失活(歯の神経が壊死してしまう状態)
- 顎関節症(顎の痛み)
| 検査・診断料 | 33,000円 |
|---|---|
| 矯正料金 | 1,100,000円 |
| 処置料 | 3,300円 × 30回 |
| 主訴 | ガタガタ, 横顔(口元が出ている), 開咬(前歯が咬んでない) |
|---|---|
| 年齢/性別 | 20代/女性 |
| 抜歯部位 | 上顎左右4番 |
| 使用装置 | ブラケット(ラビアル) |
| 治療期間 | 3年10ヶ月 |
| リテーナー | 上LBR, 下LBR, 上クリアリテーナー, 下クリアリテーナー |
- 歯根吸収(歯の根が短くなる症状)
- 歯肉退縮(歯肉が下がる症状)
- アンキローシス(歯と歯を支える骨が癒着し歯が動かなくなる)
- 失活(歯の神経が壊死してしまう状態)
- 顎関節症(顎の痛み)
| 検査・診断料 | 33,000円 |
|---|---|
| 矯正料金 | 1,100,000円 |
| 処置料 | 3,300円 × 45回 |
| 主訴 | 出っ歯, 横顔(口元が出ている) |
|---|---|
| 年齢/性別 | 20代/女性 |
| 抜歯部位 | 上顎左右4番 |
| 使用装置 | ブラケット(ラビアル), アライナー(インビザライン), 口蓋スクリュー |
| 治療期間 | 3年8ヶ月 |
| リテーナー | 上クリアリテーナー, 下クリアリテーナー |
- 歯根吸収(歯の根が短くなる症状)
- 歯肉退縮(歯肉が下がる症状)
- アンキローシス(歯と歯を支える骨が癒着し歯が動かなくなる)
- 失活(歯の神経が壊死してしまう状態)
- 顎関節症(顎の痛み)
| 検査・診断料 | 33,000円 |
|---|---|
| 矯正料金 | 1,100,000円 |
| 処置料 | 3,300円 × 38回 |
| 主訴 | ガタガタ |
|---|---|
| 年齢/性別 | 10代/男性 |
| 抜歯部位 | 非抜歯 |
| 使用装置 | アライナー(インビザライン), PB |
| 治療期間 | 4年 |
| リテーナー | 上LBR, 下LBR, 上クリアリテーナー, 下クリアリテーナー |
- 歯根吸収(歯の根が短くなる症状)
- 歯肉退縮(歯肉が下がる症状)
- アンキローシス(歯と歯を支える骨が癒着し歯が動かなくなる)
- 失活(歯の神経が壊死してしまう状態)
- 顎関節症(顎の痛み)
| 検査・診断料 | 33,000円 |
|---|---|
| 矯正料金 | 1,100,000円 |
| 処置料 | 3,300円 × 29回 |
| 主訴 | 出っ歯, 横顔(口元が出ている), 下の歯、右側の倒れているもの |
|---|---|
| 年齢/性別 | 20代/男性 |
| 抜歯部位 | 非抜歯 |
| 使用装置 | アライナー(インビザライン) |
| 治療期間 | 3年5ヶ月 |
| リテーナー | 上LBR, 下LBR, 上クリアリテーナー, 下クリアリテーナー |
- 歯根吸収(歯の根が短くなる症状)
- 歯肉退縮(歯肉が下がる症状)
- アンキローシス(歯と歯を支える骨が癒着し歯が動かなくなる)
- 失活(歯の神経が壊死してしまう状態)
- 顎関節症(顎の痛み)
| 検査・診断料 | 33,000円 |
|---|---|
| 矯正料金 | 1,100,000円 |
| 処置料 | 3,300円 × 26回 |
| 主訴 | ガタガタ, 出っ歯, 横顔(口元が出ている) |
|---|---|
| 年齢/性別 | 10代/女性 |
| 抜歯部位 | 上下左右4番 |
| 使用装置 | ブラケット(ラビアル) |
| 治療期間 | 3年3ヶ月 |
| リテーナー | 上LBR, 下LBR, 上クリアリテーナー, 下クリアリテーナー |
- 歯根吸収(歯の根が短くなる症状)
- 歯肉退縮(歯肉が下がる症状)
- アンキローシス(歯と歯を支える骨が癒着し歯が動かなくなる)
- 失活(歯の神経が壊死してしまう状態)
- 顎関節症(顎の痛み)
| 検査・診断料 | 33,000円 |
|---|---|
| 矯正料金 | 1,100,000円 |
| 処置料 | 3,300円 × 36回 |
| 主訴 | ガタガタ |
|---|---|
| 年齢/性別 | 20代/女性 |
| 抜歯部位 | 非抜歯 |
| 使用装置 | アライナー(インビザライン) |
| 治療期間 | 3年7カ月 |
| リテーナー | 上LBR, 下LBR, 上クリアリテーナー, 下クリアリテーナー |
- 歯根吸収(歯の根が短くなる症状)
- 歯肉退縮(歯肉が下がる症状)
- アンキローシス(歯と歯を支える骨が癒着し歯が動かなくなる)
- 失活(歯の神経が壊死してしまう状態)
- 顎関節症(顎の痛み)
| 検査・診断料 | 33,000円 |
|---|---|
| 矯正料金 | 1,100,000円 |
| 処置料 | 3,300円 × 23回 |
| 主訴 | ガタガタ, 出っ歯 |
|---|---|
| 年齢/性別 | 30代/女性 |
| 抜歯部位 | 上下左右4番抜歯 |
| 使用装置 | アライナー(インビザライン) |
| 治療期間 | 3年7カ月 |
| リテーナー | 上LBR, 下LBR, 上クリアリテーナー, 下クリアリテーナー |
- 歯根吸収(歯の根が短くなる症状)
- 歯肉退縮(歯肉が下がる症状)
- アンキローシス(歯と歯を支える骨が癒着し歯が動かなくなる)
- 失活(歯の神経が壊死してしまう状態)
- 顎関節症(顎の痛み)
| 検査・診断料 | 33,000円 |
|---|---|
| 矯正料金 | 1,100,000円 |
| 処置料 | 3,300円 × 23回 |
| 主訴 | 受け口 |
|---|---|
| 年齢/性別 | 30代/男性 |
| 抜歯部位 | 上顎左右4番 |
| 使用装置 | ブラケット(ラビアル) |
| 治療期間 | 6年6ヶ月 |
| リテーナー | 下LBR, 上クリアリテーナー, 下クリアリテーナー |
- 歯根吸収(歯の根が短くなる症状)
- 歯肉退縮(歯肉が下がる症状)
- アンキローシス(歯と歯を支える骨が癒着し歯が動かなくなる)
- 失活(歯の神経が壊死してしまう状態)
- 顎関節症(顎の痛み)
| 主訴 | 出っ歯 |
|---|---|
| 年齢/性別 | 20代 / 女性 |
| 抜歯部位 | 上顎左右4番 |
| 使用装置 | ブラケット(ラビアル), 頬側スクリュー, ペンデュラム |
| 治療期間 | 4年 |
| リテーナー | 上LBR, 下LBR, 上クリアリテーナー, 下クリアリテーナー |
- 歯根吸収(歯の根が短くなる症状)
- 歯肉退縮(歯肉が下がる症状)
- アンキローシス(歯と歯を支える骨が癒着し歯が動かなくなる)
- 失活(歯の神経が壊死してしまう状態)
- 顎関節症(顎の痛み)
| 検査・診断料 | 10,800円 |
|---|---|
| 矯正料金 | 1,026,000円 |
| 処置料 | 3,240円 × 1回 3,300円 × 50回 |
| 主訴 | ガタガタ, 出っ歯 |
|---|---|
| 年齢/性別 | 30代 / 女性 |
| 抜歯部位 | 非抜歯 |
| 使用装置 | アライナー(インビザライン) |
| 治療期間 | 3年9ヶ月 |
| リテーナー | 上LBR, 下LBR, 上クリアリテーナー, 下クリアリテーナー |
- 歯根吸収(歯の根が短くなる症状)
- 歯肉退縮(歯肉が下がる症状)
- アンキローシス(歯と歯を支える骨が癒着し歯が動かなくなる)
- 失活(歯の神経が壊死してしまう状態)
- 顎関節症(顎の痛み)
| 検査・診断料 | 10,800円 |
|---|---|
| 矯正料金 | 1,026,000円 |
| 処置料 | 3,300円 × 27回 |
| 主訴 | ガタガタ, 開咬(前歯が咬んでない) |
|---|---|
| 年齢/性別 | 40代 / 女性 |
| 抜歯部位 | 非抜歯 |
| 使用装置 | アライナー(インビザライン) |
| 治療期間 | 4年 |
| リテーナー | 上LBR, 下LBR, 上クリアリテーナー, 下クリアリテーナー |
- 歯根吸収(歯の根が短くなる症状)
- 歯肉退縮(歯肉が下がる症状)
- アンキローシス(歯と歯を支える骨が癒着し歯が動かなくなる)
- 失活(歯の神経が壊死してしまう状態)
- 顎関節症(顎の痛み)
| 検査・診断料 | 11,000円 |
|---|---|
| 矯正料金 | 1,100,000円 |
| 処置料 | 3,300円 × 32回 |
| 主訴 | ガタガタ |
|---|---|
| 年齢/性別 | 20代 / 女性 |
| 抜歯部位 | 非抜歯 |
| 使用装置 | アライナー(インビザライン) |
| 治療期間 | 3年1ヶ月 |
| リテーナー | 上LBR, 上クリアリテーナー, 下クリアリテーナー |
- 歯根吸収(歯の根が短くなる症状)
- 歯肉退縮(歯肉が下がる症状)
- アンキローシス(歯と歯を支える骨が癒着し歯が動かなくなる)
- 失活(歯の神経が壊死してしまう状態)
- 顎関節症(顎の痛み)
| 検査・診断料 | 11,000円 |
|---|---|
| 矯正料金 | 1,100,000円 |
| 処置料 | 3,300円 × 26回 |
| 主訴 | 未記入 |
|---|---|
| 年齢/性別 | 20代 / 男性 |
| 抜歯部位 | 上下左右4番 |
| 使用装置 | ブラケット(ラビアル), ベネスライダー |
| 治療期間 | 3年1ヶ月 |
| リテーナー | 上LBR, 下LBR, 上ラップアラウンドリテーナー, 下ラップアラウンドリテーナー |
- 歯根吸収(歯の根が短くなる症状)
- 歯肉退縮(歯肉が下がる症状)
- アンキローシス(歯と歯を支える骨が癒着し歯が動かなくなる)
- 失活(歯の神経が壊死してしまう状態)
- 顎関節症(顎の痛み)
| 検査・診断料 | 11,000円 |
|---|---|
| 矯正料金 | 1,100,000円 |
| 処置料 | 3,300円 × 34回 |
| 主訴 | ガタガタ |
|---|---|
| 年齢/性別 | 20代 / 男性 |
| 抜歯部位 | 非抜歯 |
| 使用装置 | アライナー(インビザライン) |
| 治療期間 | 3年10か月 |
| リテーナー | 上LBR, 下LBR, 上ラップアラウンドリテーナー, 下ラップアラウンドリテーナー, 上クリアリテーナー, 下クリアリテーナー |
- 歯根吸収(歯の根が短くなる症状)
- 歯肉退縮(歯肉が下がる症状)
- アンキローシス(歯と歯を支える骨が癒着し歯が動かなくなる)
- 失活(歯の神経が壊死してしまう状態)
- 顎関節症(顎の痛み)
| 検査・診断料 | 11,000円 |
|---|---|
| 矯正料金 | 1,100,000円 |
| 処置料 | 3,300円 × 24回 |
| 主訴 | ガタガタ, 出っ歯, 横顔(口元が出ている) |
|---|---|
| 年齢/性別 | 10代 / 女性 |
| 抜歯部位 | 非抜歯 |
| 使用装置 | アライナー(インビザライン), ベネスライダー, 口蓋スクリュー |
| 治療期間 | 2年10か月 |
| リテーナー | 上LBR, 下LBR, 上クリアリテーナー, 下クリアリテーナー |
- 歯根吸収(歯の根が短くなる症状)
- 歯肉退縮(歯肉が下がる症状)
- アンキローシス(歯と歯を支える骨が癒着し歯が動かなくなる)
- 失活(歯の神経が壊死してしまう状態)
- 顎関節症(顎の痛み)
| 検査・診断料 | 33,000円 |
|---|---|
| 矯正料金 | 1,100,000円 |
| 処置料 | 3,300円 × 25回 |
| 主訴 | ガタガタ |
|---|---|
| 年齢/性別 | 30代 / 男性 |
| 抜歯部位 | 上顎左右4番 |
| 使用装置 | アライナー(インビザライン) |
| 治療期間 | 2年3か月 |
| リテーナー | 上クリアリテーナー, 下クリアリテーナー |
- 歯根吸収(歯の根が短くなる症状)
- 歯肉退縮(歯肉が下がる症状)
- アンキローシス(歯と歯を支える骨が癒着し歯が動かなくなる)
- 失活(歯の神経が壊死してしまう状態)
- 顎関節症(顎の痛み)
| 検査・診断料 | 33,000円 |
|---|---|
| 矯正料金 | 1,100,000円 |
| 処置料 | 3,300円 × 16回 |
| 主訴 | 受け口 |
|---|---|
| 年齢/性別 | 30代/男性 |
| 抜歯部位 | 上顎左右4番 |
| 使用装置 | ブラケット(ラビアル) |
| 治療期間 | 6年6ヶ月 |
| リテーナー | 下LBR, 上クリアリテーナー, 下クリアリテーナー |
- 歯根吸収(歯の根が短くなる症状)
- 歯肉退縮(歯肉が下がる症状)
- アンキローシス(歯と歯を支える骨が癒着し歯が動かなくなる)
- 失活(歯の神経が壊死してしまう状態)
- 顎関節症(顎の痛み)
| 主訴 | ガタガタ, 後ろからおされて前歯が出てきてる |
|---|---|
| 年齢/性別 | 20代 / 女性 |
| 抜歯部位 | 非抜歯 |
| 使用装置 | アライナー(インビザライン) |
| 治療期間 | 2年9ヶ月 |
| リテーナー | 上LBR, 下LBR, 上クリアリテーナー, 下クリアリテーナー |
- 歯根吸収(歯の根が短くなる症状)
- 歯肉退縮(歯肉が下がる症状)
- アンキローシス(歯と歯を支える骨が癒着し歯が動かなくなる)
- 失活(歯の神経が壊死してしまう状態)
- 顎関節症(顎の痛み)
| 検査・診断料 | 33,000円 |
|---|---|
| 矯正料金 | 1,100,000円 |
| 処置料 | 3,300円 × 15回 |
| 主訴 | ガタガタ |
|---|---|
| 年齢/性別 | 20代 / 男性 |
| 抜歯部位 | 非抜歯 |
| 使用装置 | アライナー(インビザライン) |
| 治療期間 | 1年6ヶ月 |
| リテーナー | 上LBR, 下LBR, 上クリアリテーナー, 下クリアリテーナー |
- 歯根吸収(歯の根が短くなる症状)
- 歯肉退縮(歯肉が下がる症状)
- アンキローシス(歯と歯を支える骨が癒着し歯が動かなくなる)
- 失活(歯の神経が壊死してしまう状態)
- 顎関節症(顎の痛み)
| 検査・診断料 | 33,000円 |
|---|---|
| 矯正料金 | 1,100,000円 |
| 処置料 | 3,300円 × 12回 |
| 主訴 | ガタガタ |
|---|---|
| 年齢/性別 | 10代 / 女性 |
| 抜歯部位 | 非抜歯 |
| 使用装置 | ブラケット(ラビアル) |
| 治療期間 | 1年5ヶ月 |
| リテーナー | 上LBR, 下LBR, 上クリアリテーナー, 下クリアリテーナー |
- 歯根吸収(歯の根が短くなる症状)
- 歯肉退縮(歯肉が下がる症状)
- アンキローシス(歯と歯を支える骨が癒着し歯が動かなくなる)
- 失活(歯の神経が壊死してしまう状態)
- 顎関節症(顎の痛み)
| 検査・診断料 | 33,000円 |
|---|---|
| 矯正料金 | 935,000円 |
| 処置料 | 3,300円 × 20回 |
| 主訴 | ガタガタ |
|---|---|
| 年齢/性別 | 10代 / 女性 |
| 抜歯部位 | 非抜歯 |
| 使用装置 | アライナー(インビザライン) |
| 治療期間 | 1年4.5ヶ月 |
| リテーナー | 上LBR, 下LBR, 上クリアリテーナー, 下クリアリテーナー |
- 歯根吸収(歯の根が短くなる症状)
- 歯肉退縮(歯肉が下がる症状)
- アンキローシス(歯と歯を支える骨が癒着し歯が動かなくなる)
- 失活(歯の神経が壊死してしまう状態)
- 顎関節症(顎の痛み)
| 検査・診断料 | 33,000円 |
|---|---|
| 矯正料金 | 1,100,000円 |
| 処置料 | 3,300円 × 12回 |
| 主訴 | 横顔(口元が出ている), 受け口 |
|---|---|
| 年齢/性別 | 20代 / 男性 |
| 抜歯部位 | 非抜歯 |
| 使用装置 | ブラケット(ラビアル), QH |
| 治療期間 | 4年6ヶ月 |
| リテーナー | 上LBR, 下LBR, 上クリアリテーナー, 下クリアリテーナー |
- 歯根吸収(歯の根が短くなる症状)
- 歯肉退縮(歯肉が下がる症状)
- アンキローシス(歯と歯を支える骨が癒着し歯が動かなくなる)
- 失活(歯の神経が壊死してしまう状態)
- 顎関節症(顎の痛み)
| 主訴 | 受け口 |
|---|---|
| 年齢/性別 | 30代/男性 |
| 抜歯部位 | 上顎左右4番 |
| 使用装置 | ブラケット(ラビアル) |
| 治療期間 | 6年6ヶ月 |
| リテーナー | 下LBR, 上クリアリテーナー, 下クリアリテーナー |
- 歯根吸収(歯の根が短くなる症状)
- 歯肉退縮(歯肉が下がる症状)
- アンキローシス(歯と歯を支える骨が癒着し歯が動かなくなる)
- 失活(歯の神経が壊死してしまう状態)
- 顎関節症(顎の痛み)
| 主訴 | ガタガタ, 出っ歯 |
|---|---|
| 年齢/性別 | 10代 / 女性 |
| 抜歯部位 | 非抜歯 |
| 使用装置 | アライナー(インビザライン) |
| 治療期間 | 4年11ヶ月 |
| リテーナー | 上クリアリテーナー, 下クリアリテーナー |
- 歯根吸収(歯の根が短くなる症状)
- 歯肉退縮(歯肉が下がる症状)
- アンキローシス(歯と歯を支える骨が癒着し歯が動かなくなる)
- 失活(歯の神経が壊死してしまう状態)
- 顎関節症(顎の痛み)
| 検査・診断料 | 10,800円 |
|---|---|
| 矯正料金 | 1,026,000円 |
| 処置料 | 3,240円 × 5回 3,300円 × 16回 |
| 主訴 | 出っ歯 |
|---|---|
| 年齢/性別 | 20代 / 女性 |
| 抜歯部位 | 上顎左右4番 |
| 使用装置 | ブラケット(ラビアル), 頬側スクリュー, ペンデュラム |
| 治療期間 | 4年 |
| リテーナー | 上LBR, 下LBR, 上クリアリテーナー, 下クリアリテーナー |
- 歯根吸収(歯の根が短くなる症状)
- 歯肉退縮(歯肉が下がる症状)
- アンキローシス(歯と歯を支える骨が癒着し歯が動かなくなる)
- 失活(歯の神経が壊死してしまう状態)
- 顎関節症(顎の痛み)
| 検査・診断料 | 10,800円 |
|---|---|
| 矯正料金 | 1,026,000円 |
| 処置料 | 3,240円 × 1回 3,300円 × 50回 |
| 主訴 | ガタガタ, 出っ歯 |
|---|---|
| 年齢/性別 | 30代 / 女性 |
| 抜歯部位 | 非抜歯 |
| 使用装置 | アライナー(インビザライン) |
| 治療期間 | 3年9ヶ月 |
| リテーナー | 上LBR, 下LBR, 上クリアリテーナー, 下クリアリテーナー |
- 歯根吸収(歯の根が短くなる症状)
- 歯肉退縮(歯肉が下がる症状)
- アンキローシス(歯と歯を支える骨が癒着し歯が動かなくなる)
- 失活(歯の神経が壊死してしまう状態)
- 顎関節症(顎の痛み)
| 検査・診断料 | 10,800円 |
|---|---|
| 矯正料金 | 1,026,000円 |
| 処置料 | 3,300円 × 27回 |
| 主訴 | ガタガタ, 開咬(前歯が咬んでない) |
|---|---|
| 年齢/性別 | 40代 / 女性 |
| 抜歯部位 | 非抜歯 |
| 使用装置 | アライナー(インビザライン) |
| 治療期間 | 4年 |
| リテーナー | 上LBR, 下LBR, 上クリアリテーナー, 下クリアリテーナー |
- 歯根吸収(歯の根が短くなる症状)
- 歯肉退縮(歯肉が下がる症状)
- アンキローシス(歯と歯を支える骨が癒着し歯が動かなくなる)
- 失活(歯の神経が壊死してしまう状態)
- 顎関節症(顎の痛み)
| 検査・診断料 | 11,000円 |
|---|---|
| 矯正料金 | 1,100,000円 |
| 処置料 | 3,300円 × 32回 |
| 主訴 | ガタガタ |
|---|---|
| 年齢/性別 | 20代 / 女性 |
| 抜歯部位 | 非抜歯 |
| 使用装置 | アライナー(インビザライン) |
| 治療期間 | 3年1ヶ月 |
| リテーナー | 上LBR, 上クリアリテーナー, 下クリアリテーナー |
- 歯根吸収(歯の根が短くなる症状)
- 歯肉退縮(歯肉が下がる症状)
- アンキローシス(歯と歯を支える骨が癒着し歯が動かなくなる)
- 失活(歯の神経が壊死してしまう状態)
- 顎関節症(顎の痛み)
| 検査・診断料 | 11,000円 |
|---|---|
| 矯正料金 | 1,100,000円 |
| 処置料 | 3,300円 × 26回 |
| 主訴 | 未記入 |
|---|---|
| 年齢/性別 | 20代 / 男性 |
| 抜歯部位 | 上下左右4番 |
| 使用装置 | ブラケット(ラビアル), ベネスライダー |
| 治療期間 | 3年1ヶ月 |
| リテーナー | 上LBR, 下LBR, 上ラップアラウンドリテーナー, 下ラップアラウンドリテーナー |
- 歯根吸収(歯の根が短くなる症状)
- 歯肉退縮(歯肉が下がる症状)
- アンキローシス(歯と歯を支える骨が癒着し歯が動かなくなる)
- 失活(歯の神経が壊死してしまう状態)
- 顎関節症(顎の痛み)
| 検査・診断料 | 11,000円 |
|---|---|
| 矯正料金 | 1,100,000円 |
| 処置料 | 3,300円 × 34回 |
| 主訴 | ガタガタ |
|---|---|
| 年齢/性別 | 20代 / 男性 |
| 抜歯部位 | 非抜歯 |
| 使用装置 | アライナー(インビザライン) |
| 治療期間 | 3年10か月 |
| リテーナー | 上LBR, 下LBR, 上ラップアラウンドリテーナー, 下ラップアラウンドリテーナー, 上クリアリテーナー, 下クリアリテーナー |
- 歯根吸収(歯の根が短くなる症状)
- 歯肉退縮(歯肉が下がる症状)
- アンキローシス(歯と歯を支える骨が癒着し歯が動かなくなる)
- 失活(歯の神経が壊死してしまう状態)
- 顎関節症(顎の痛み)
| 検査・診断料 | 11,000円 |
|---|---|
| 矯正料金 | 1,100,000円 |
| 処置料 | 3,300円 × 24回 |
| 主訴 | ガタガタ, 出っ歯, 横顔(口元が出ている) |
|---|---|
| 年齢/性別 | 10代 / 女性 |
| 抜歯部位 | 非抜歯 |
| 使用装置 | アライナー(インビザライン), ベネスライダー, 口蓋スクリュー |
| 治療期間 | 2年10か月 |
| リテーナー | 上LBR, 下LBR, 上クリアリテーナー, 下クリアリテーナー |
- 歯根吸収(歯の根が短くなる症状)
- 歯肉退縮(歯肉が下がる症状)
- アンキローシス(歯と歯を支える骨が癒着し歯が動かなくなる)
- 失活(歯の神経が壊死してしまう状態)
- 顎関節症(顎の痛み)
| 検査・診断料 | 33,000円 |
|---|---|
| 矯正料金 | 1,100,000円 |
| 処置料 | 3,300円 × 25回 |
| 主訴 | ガタガタ |
|---|---|
| 年齢/性別 | 30代 / 男性 |
| 抜歯部位 | 上顎左右4番 |
| 使用装置 | アライナー(インビザライン) |
| 治療期間 | 2年3か月 |
| リテーナー | 上クリアリテーナー, 下クリアリテーナー |
- 歯根吸収(歯の根が短くなる症状)
- 歯肉退縮(歯肉が下がる症状)
- アンキローシス(歯と歯を支える骨が癒着し歯が動かなくなる)
- 失活(歯の神経が壊死してしまう状態)
- 顎関節症(顎の痛み)
| 検査・診断料 | 33,000円 |
|---|---|
| 矯正料金 | 1,100,000円 |
| 処置料 | 3,300円 × 16回 |
| 主訴 | 受け口 |
|---|---|
| 年齢/性別 | 30代/男性 |
| 抜歯部位 | 上顎左右4番 |
| 使用装置 | ブラケット(ラビアル) |
| 治療期間 | 6年6ヶ月 |
| リテーナー | 下LBR, 上クリアリテーナー, 下クリアリテーナー |
- 歯根吸収(歯の根が短くなる症状)
- 歯肉退縮(歯肉が下がる症状)
- アンキローシス(歯と歯を支える骨が癒着し歯が動かなくなる)
- 失活(歯の神経が壊死してしまう状態)
- 顎関節症(顎の痛み)
| 主訴 | ガタガタ, 後ろからおされて前歯が出てきてる |
|---|---|
| 年齢/性別 | 20代 / 女性 |
| 抜歯部位 | 非抜歯 |
| 使用装置 | アライナー(インビザライン) |
| 治療期間 | 2年9ヶ月 |
| リテーナー | 上LBR, 下LBR, 上クリアリテーナー, 下クリアリテーナー |
- 歯根吸収(歯の根が短くなる症状)
- 歯肉退縮(歯肉が下がる症状)
- アンキローシス(歯と歯を支える骨が癒着し歯が動かなくなる)
- 失活(歯の神経が壊死してしまう状態)
- 顎関節症(顎の痛み)
| 検査・診断料 | 33,000円 |
|---|---|
| 矯正料金 | 1,100,000円 |
| 処置料 | 3,300円 × 15回 |
| 主訴 | ガタガタ |
|---|---|
| 年齢/性別 | 20代 / 男性 |
| 抜歯部位 | 非抜歯 |
| 使用装置 | アライナー(インビザライン) |
| 治療期間 | 1年6ヶ月 |
| リテーナー | 上LBR, 下LBR, 上クリアリテーナー, 下クリアリテーナー |
- 歯根吸収(歯の根が短くなる症状)
- 歯肉退縮(歯肉が下がる症状)
- アンキローシス(歯と歯を支える骨が癒着し歯が動かなくなる)
- 失活(歯の神経が壊死してしまう状態)
- 顎関節症(顎の痛み)
| 検査・診断料 | 33,000円 |
|---|---|
| 矯正料金 | 1,100,000円 |
| 処置料 | 3,300円 × 12回 |
| 主訴 | ガタガタ |
|---|---|
| 年齢/性別 | 10代 / 女性 |
| 抜歯部位 | 非抜歯 |
| 使用装置 | ブラケット(ラビアル) |
| 治療期間 | 1年5ヶ月 |
| リテーナー | 上LBR, 下LBR, 上クリアリテーナー, 下クリアリテーナー |
- 歯根吸収(歯の根が短くなる症状)
- 歯肉退縮(歯肉が下がる症状)
- アンキローシス(歯と歯を支える骨が癒着し歯が動かなくなる)
- 失活(歯の神経が壊死してしまう状態)
- 顎関節症(顎の痛み)
| 検査・診断料 | 33,000円 |
|---|---|
| 矯正料金 | 935,000円 |
| 処置料 | 3,300円 × 20回 |
| 主訴 | ガタガタ |
|---|---|
| 年齢/性別 | 10代 / 女性 |
| 抜歯部位 | 非抜歯 |
| 使用装置 | アライナー(インビザライン) |
| 治療期間 | 1年4.5ヶ月 |
| リテーナー | 上LBR, 下LBR, 上クリアリテーナー, 下クリアリテーナー |
- 歯根吸収(歯の根が短くなる症状)
- 歯肉退縮(歯肉が下がる症状)
- アンキローシス(歯と歯を支える骨が癒着し歯が動かなくなる)
- 失活(歯の神経が壊死してしまう状態)
- 顎関節症(顎の痛み)
| 検査・診断料 | 33,000円 |
|---|---|
| 矯正料金 | 1,100,000円 |
| 処置料 | 3,300円 × 12回 |
| 主訴 | 横顔(口元が出ている), 受け口 |
|---|---|
| 年齢/性別 | 20代 / 男性 |
| 抜歯部位 | 非抜歯 |
| 使用装置 | ブラケット(ラビアル), QH |
| 治療期間 | 4年6ヶ月 |
| リテーナー | 上LBR, 下LBR, 上クリアリテーナー, 下クリアリテーナー |
- 歯根吸収(歯の根が短くなる症状)
- 歯肉退縮(歯肉が下がる症状)
- アンキローシス(歯と歯を支える骨が癒着し歯が動かなくなる)
- 失活(歯の神経が壊死してしまう状態)
- 顎関節症(顎の痛み)
| 主訴 | ガタガタ, 出っ歯 |
|---|---|
| 年齢/性別 | 10代 / 女性 |
| 抜歯部位 | 非抜歯 |
| 使用装置 | アライナー(インビザライン) |
| 治療期間 | 4年11ヶ月 |
| リテーナー | 上クリアリテーナー, 下クリアリテーナー |
- 歯根吸収(歯の根が短くなる症状)
- 歯肉退縮(歯肉が下がる症状)
- アンキローシス(歯と歯を支える骨が癒着し歯が動かなくなる)
- 失活(歯の神経が壊死してしまう状態)
- 顎関節症(顎の痛み)
| 検査・診断料 | 10,800円 |
|---|---|
| 矯正料金 | 1,026,000円 |
| 処置料 |
3,240円 × 5回 3,300円 × 16回 |
| 主訴 | 横顔(口元が出ている), 笑った時の歯茎の見え方 |
|---|---|
| 年齢/性別 | 10代 / 女性 |
| 抜歯部位 | 非抜歯 |
| 使用装置 | アライナー(インビザライン) |
| 治療期間 | 5年4ヶ月 |
| リテーナー | 上LBR, 下LBR, 上クリアリテーナー, 下クリアリテーナー |
- 歯根吸収(歯の根が短くなる症状)
- 歯肉退縮(歯肉が下がる症状)
- アンキローシス(歯と歯を支える骨が癒着し歯が動かなくなる)
- 失活(歯の神経が壊死してしまう状態)
- 顎関節症(顎の痛み)
| 検査・診断料 | 10,800円 |
|---|---|
| 矯正料金 | 1,026,000円 |
| 処置料 | 3,300円 × 32回 |
| 主訴 | 出っ歯, 横顔(口元が出ている) |
|---|---|
| 年齢/性別 | 20代 / 女性 |
| 抜歯部位 | 上下左右4番 |
| 使用装置 | ハーフリンガル, アライナー(インビザライン) |
| 治療期間 | 4年8ヵ月 |
| リテーナー | 下LBR, 上クリアリテーナー, 下クリアリテーナー |
- 歯根吸収(歯の根が短くなる症状)
- 歯肉退縮(歯肉が下がる症状)
- アンキローシス(歯と歯を支える骨が癒着し歯が動かなくなる)
- 失活(歯の神経が壊死してしまう状態)
- 顎関節症(顎の痛み)
| 検査・診断料 | 10,800円 |
|---|---|
| 矯正料金 | 1,026,000円 |
| 処置料 | 3,300円 × 48回 |



| 主訴 | ガタガタ, 乳歯が残っている |
|---|---|
| 年齢/性別 | 20代 / 女性 |
| 抜歯部位 | 非抜歯 |
| 使用装置 | アライナー(インビザライン), 口蓋スクリュー |
| 治療期間 | 3年6ヶ月 |
| リテーナー | 上LBR, 下LBR, 上クリアリテーナー, 下クリアリテーナー |
- 歯根吸収(歯の根が短くなる症状)
- 歯肉退縮(歯肉が下がる症状)
- アンキローシス(歯と歯を支える骨が癒着し歯が動かなくなる)
- 失活(歯の神経が壊死してしまう状態)
- 顎関節症(顎の痛み)
| 検査・診断料 | 11,000円 |
|---|---|
| 矯正料金 | 1,100,000円 |
| 処置料 | 3,300円 × 29回 |



| 主訴 | ガタガタ |
|---|---|
| 年齢/性別 | 50代 / 女性 |
| 抜歯部位 | 非抜歯 |
| 使用装置 | アライナー(インビザライン) |
| 治療期間 | 3年10ヶ月 |
| リテーナー | 上LBR, 下LBR, 上クリアリテーナー, 下クリアリテーナー |
- 歯根吸収(歯の根が短くなる症状)
- 歯肉退縮(歯肉が下がる症状)
- アンキローシス(歯と歯を支える骨が癒着し歯が動かなくなる)
- 失活(歯の神経が壊死してしまう状態)
- 顎関節症(顎の痛み)
| 検査・診断料 | 11,000円 |
|---|---|
| 矯正料金 | 1,100,000円 |
| 処置料 | 3,300円 × 27回 |



| 主訴 | ガタガタ, 横顔(口元が出ている) |
|---|---|
| 年齢/性別 | 20代 / 女性 |
| 抜歯部位 | 上下左右4番 |
| 使用装置 | ブラケット(ラビアル), アライナー(インビザライン), ベネスライダー |
| 治療期間 | 4年 |
| リテーナー | 上LBR, 下LBR, 上クリアリテーナー, 下クリアリテーナー |
- 歯根吸収(歯の根が短くなる症状)
- 歯肉退縮(歯肉が下がる症状)
- アンキローシス(歯と歯を支える骨が癒着し歯が動かなくなる)
- 失活(歯の神経が壊死してしまう状態)
- 顎関節症(顎の痛み)
| 検査・診断料 | 11,000円 |
|---|---|
| 矯正料金 | 1,100,000円 |
| 処置料 | 3,300円 × 34回 |



| 主訴 | ガタガタ |
|---|---|
| 年齢/性別 | 10代 / 女性 |
| 抜歯部位 | 非抜歯 |
| 使用装置 | アライナー(インビザライン) |
| 治療期間 | 3年11カ月 |
| リテーナー | 上LBR, 下LBR, 上クリアリテーナー, 下クリアリテーナー |
- 歯根吸収(歯の根が短くなる症状)
- 歯肉退縮(歯肉が下がる症状)
- アンキローシス(歯と歯を支える骨が癒着し歯が動かなくなる)
- 失活(歯の神経が壊死してしまう状態)
- 顎関節症(顎の痛み)
| 検査・診断料 | 11,000円 |
|---|---|
| 矯正料金 | 1,100,000円 |
| 処置料 | 3,300円 × 31回 |



| 主訴 | 空隙歯列 |
|---|---|
| 年齢/性別 | 20代 / 男性 |
| 抜歯部位 | 非抜歯 |
| 使用装置 | アライナー(インビザライン) |
| 治療期間 | 4年1ヶ月 |
| リテーナー | 上クリアリテーナー, 下クリアリテーナー |
- 歯根吸収(歯の根が短くなる症状)
- 歯肉退縮(歯肉が下がる症状)
- アンキローシス(歯と歯を支える骨が癒着し歯が動かなくなる)
- 失活(歯の神経が壊死してしまう状態)
- 顎関節症(顎の痛み)
| 検査・診断料 | 11,000円 |
|---|---|
| 矯正料金 | 1,100,000円 |
| 処置料 | 3,300円 × 31回 |



| 主訴 | ガタガタ |
|---|---|
| 年齢/性別 | 10代 / 女性 |
| 抜歯部位 | 非抜歯 |
| 使用装置 | アライナー(インビザライン), QH |
| 治療期間 | 3年9ヶ月 |
| リテーナー | 上LBR, 下LBR, 上クリアリテーナー, 下クリアリテーナー |
- 歯根吸収(歯の根が短くなる症状)
- 歯肉退縮(歯肉が下がる症状)
- アンキローシス(歯と歯を支える骨が癒着し歯が動かなくなる)
- 失活(歯の神経が壊死してしまう状態)
- 顎関節症(顎の痛み)
| 検査・診断料 | 11,000円 |
|---|---|
| 矯正料金 | 1,100,000円 |
| 処置料 | 3,300円 × 27回 |



| 主訴 | ガタガタ, 開咬(前歯が咬んでない) |
|---|---|
| 年齢/性別 | 30代 / 女性 |
| 抜歯部位 | 上顎左右6番、右下4番 |
| 使用装置 | ブラケット(ラビアル) |
| 治療期間 | 3年6ヶ月 |
| リテーナー | 上LBR, 下LBR, 上クリアリテーナー, 下クリアリテーナー |
- 歯根吸収(歯の根が短くなる症状)
- 歯肉退縮(歯肉が下がる症状)
- アンキローシス(歯と歯を支える骨が癒着し歯が動かなくなる)
- 失活(歯の神経が壊死してしまう状態)
- 顎関節症(顎の痛み)
| 検査・診断料 | 11,000円 |
|---|---|
| 矯正料金 | 1,100,000円 |
| 処置料 | 3,300円 × 47回 |



| 主訴 | 出っ歯, かみ合わせが深い, 開咬(前歯が咬んでない), 笑った時の歯茎の見え方 |
|---|---|
| 年齢/性別 | 20代 / 男性 |
| 抜歯部位 | 上顎左右4番 |
| 使用装置 | アライナー(インビザライン) |
| 治療期間 | 3年2ヶ月 |
| リテーナー | 上クリアリテーナー, 下クリアリテーナー |
- 歯根吸収(歯の根が短くなる症状)
- 歯肉退縮(歯肉が下がる症状)
- アンキローシス(歯と歯を支える骨が癒着し歯が動かなくなる)
- 失活(歯の神経が壊死してしまう状態)
- 顎関節症(顎の痛み)
| 検査・診断料 | 11,000円 |
|---|---|
| 矯正料金 | 1,100,000円 |
| 処置料 | 3,300円 × 23回 |



| 主訴 | ガタガタ, 開咬(前歯が咬んでない), 笑った時の歯茎の見え方 |
|---|---|
| 年齢/性別 | 20代 / 女性 |
| 抜歯部位 | 上顎左右4番 |
| 使用装置 | ブラケット(ラビアル) |
| 治療期間 | 4年8か月 |
| リテーナー | 上LBR, 下LBR, 上クリアリテーナー, 下クリアリテーナー |
- 歯根吸収(歯の根が短くなる症状)
- 歯肉退縮(歯肉が下がる症状)
- アンキローシス(歯と歯を支える骨が癒着し歯が動かなくなる)
- 失活(歯の神経が壊死してしまう状態)
- 顎関節症(顎の痛み)



| 主訴 | ガタガタ |
|---|---|
| 年齢/性別 | 20代 / 女性 |
| 抜歯部位 | 非抜歯 |
| 使用装置 | ブラケット(ラビアル), MSE |
| 治療期間 | 4年9か月 |
| リテーナー | 上LBR, 下LBR, 上クリアリテーナー, 下クリアリテーナー |
- 歯根吸収(歯の根が短くなる症状)
- 歯肉退縮(歯肉が下がる症状)
- アンキローシス(歯と歯を支える骨が癒着し歯が動かなくなる)
- 失活(歯の神経が壊死してしまう状態)
- 顎関節症(顎の痛み)



| 主訴 | ガタガタ |
|---|---|
| 年齢/性別 | 10代 / 男性 |
| 抜歯部位 | 非抜歯 |
| 使用装置 | アライナー(インビザライン) |
| 治療期間 | 2年8ヶ月 |
| リテーナー | 上LBR, 下LBR, 上クリアリテーナー, 下クリアリテーナー |
- 歯根吸収(歯の根が短くなる症状)
- 歯肉退縮(歯肉が下がる症状)
- アンキローシス(歯と歯を支える骨が癒着し歯が動かなくなる)
- 失活(歯の神経が壊死してしまう状態)
- 顎関節症(顎の痛み)
| 検査・診断料 | 11,000円 |
|---|---|
| 矯正料金 | 1,100,000円 |
| 処置料 | 3,300円 × 18回 |



| 主訴 | 横顔(口元が出ている), かめない |
|---|---|
| 年齢/性別 | 40代 / 女性 |
| 抜歯部位 | 非抜歯 |
| 使用装置 | ブラケット(ラビアル) |
| 治療期間 | 2年6ヶ月 |
| リテーナー | 下LBR, 上ラップアラウンドリテーナー, 下ラップアラウンドリテーナー |
- 歯根吸収(歯の根が短くなる症状)
- 歯肉退縮(歯肉が下がる症状)
- アンキローシス(歯と歯を支える骨が癒着し歯が動かなくなる)
- 失活(歯の神経が壊死してしまう状態)
- 顎関節症(顎の痛み)
| 検査・診断料 | 33,000円 |
|---|---|
| 矯正料金 | 193,980円 |
| 処置料 | 3,300円 × 0回 |



| 主訴 | ガタガタ |
|---|---|
| 年齢/性別 | 40代 / 女性 |
| 抜歯部位 | 非抜歯 |
| 使用装置 | アライナー(インビザライン) |
| 治療期間 | 2年10か月 |
| リテーナー | 上LBR, 下LBR, 上クリアリテーナー, 下クリアリテーナー |
- 歯根吸収(歯の根が短くなる症状)
- 歯肉退縮(歯肉が下がる症状)
- アンキローシス(歯と歯を支える骨が癒着し歯が動かなくなる)
- 失活(歯の神経が壊死してしまう状態)
- 顎関節症(顎の痛み)
| 検査・診断料 | 33,000円 |
|---|---|
| 矯正料金 | 1,100,000円 |
| 処置料 | 3,300円 × 22回 |



| 主訴 | ガタガタ |
|---|---|
| 年齢/性別 | 10代 / 女性 |
| 抜歯部位 | 非抜歯 |
| 使用装置 | アライナー(インビザライン) |
| 治療期間 | 2年9か月 |
| リテーナー | 上LBR, 下LBR, 上クリアリテーナー, 下クリアリテーナー |
- 歯根吸収(歯の根が短くなる症状)
- 歯肉退縮(歯肉が下がる症状)
- アンキローシス(歯と歯を支える骨が癒着し歯が動かなくなる)
- 失活(歯の神経が壊死してしまう状態)
- 顎関節症(顎の痛み)
| 検査・診断料 | 33,000円 |
|---|---|
| 矯正料金 | 1,100,000円 |
| 処置料 | 3,300円 × 20回 |



| 主訴 | ガタガタ, 出っ歯, 横顔(口元が出ている) |
|---|---|
| 年齢/性別 | 20代 / 女性 |
| 抜歯部位 | 上顎左右4番、下顎左右5番 |
| 使用装置 | ブラケット(ラビアル), アライナー(インビザライン), 口蓋スクリュー |
| 治療期間 | 3年4ヶ月 |
| リテーナー | 上クリアリテーナー, 下クリアリテーナー |
- 歯根吸収(歯の根が短くなる症状)
- 歯肉退縮(歯肉が下がる症状)
- アンキローシス(歯と歯を支える骨が癒着し歯が動かなくなる)
- 失活(歯の神経が壊死してしまう状態)
- 顎関節症(顎の痛み)
| 検査・診断料 | 33,000円 |
|---|---|
| 矯正料金 | 1,100,000円 |
| 処置料 | 3,300円 × 32回 |



| 主訴 | ガタガタ, 出っ歯, 横顔(口元が出ている) |
|---|---|
| 年齢/性別 | 20代 / 女性 |
| 抜歯部位 | 非抜歯 |
| 使用装置 | アライナー(インビザライン) |
| 治療期間 | 2年10か月 |
| リテーナー | 上LBR, 下LBR, 上クリアリテーナー, 下クリアリテーナー |
- 歯根吸収(歯の根が短くなる症状)
- 歯肉退縮(歯肉が下がる症状)
- アンキローシス(歯と歯を支える骨が癒着し歯が動かなくなる)
- 失活(歯の神経が壊死してしまう状態)
- 顎関節症(顎の痛み)
| 検査・診断料 | 33,000円 |
|---|---|
| 矯正料金 | 1,100,000円 |
| 処置料 | 3,300円 × 21回 |



| 主訴 | ガタガタ, 先天性欠損 |
|---|---|
| 年齢/性別 | 10代 / 女性 |
| 抜歯部位 | 非抜歯 |
| 使用装置 | アライナー(インビザライン) |
| 治療期間 | 2年1ヶ月 |
| リテーナー | 上クリアリテーナー, 下クリアリテーナー |
- 歯根吸収(歯の根が短くなる症状)
- 歯肉退縮(歯肉が下がる症状)
- アンキローシス(歯と歯を支える骨が癒着し歯が動かなくなる)
- 失活(歯の神経が壊死してしまう状態)
- 顎関節症(顎の痛み)
| 検査・診断料 | 33,000円 |
|---|---|
| 矯正料金 | 1,100,000円 |
| 処置料 | 3,300円 × 18回 |



| 主訴 | かみ合わせが深い |
|---|---|
| 年齢/性別 | 10代 / 女性 |
| 抜歯部位 | 非抜歯 |
| 使用装置 | アライナー(インビザライン) |
| 治療期間 | 2年5ヶ月 |
| リテーナー | 上クリアリテーナー, 下クリアリテーナー |
- 歯根吸収(歯の根が短くなる症状)
- 歯肉退縮(歯肉が下がる症状)
- アンキローシス(歯と歯を支える骨が癒着し歯が動かなくなる)
- 失活(歯の神経が壊死してしまう状態)
- 顎関節症(顎の痛み)
| 検査・診断料 | 33,000円 |
|---|---|
| 矯正料金 | 1,100,000円 |
| 処置料 | 3,300円 × 19回 |



| 主訴 | 出っ歯, 笑った時の歯茎の見え方 |
|---|---|
| 年齢/性別 | 40代 / 女性 |
| 抜歯部位 | 非抜歯 |
| 使用装置 | アライナー(インビザライン) |
| 治療期間 | 2年6ヶ月 |
| リテーナー | 上LBR, 下LBR, 上クリアリテーナー, 下クリアリテーナー |
- 歯根吸収(歯の根が短くなる症状)
- 歯肉退縮(歯肉が下がる症状)
- アンキローシス(歯と歯を支える骨が癒着し歯が動かなくなる)
- 失活(歯の神経が壊死してしまう状態)
- 顎関節症(顎の痛み)
| 検査・診断料 | 33,000円 |
|---|---|
| 矯正料金 | 1,100,000円 |
| 処置料 | 3,300円 × 20回 |



| 主訴 | ガタガタ |
|---|---|
| 年齢/性別 | 40代 / 女性 |
| 抜歯部位 | 非抜歯 |
| 使用装置 | ブラケット(ラビアル), QH |
| 治療期間 | 2年8ヶ月 |
| リテーナー | 上LBR, 下LBR, 上クリアリテーナー, 下クリアリテーナー |
- 歯根吸収(歯の根が短くなる症状)
- 歯肉退縮(歯肉が下がる症状)
- アンキローシス(歯と歯を支える骨が癒着し歯が動かなくなる)
- 失活(歯の神経が壊死してしまう状態)
- 顎関節症(顎の痛み)
| 検査・診断料 | 33,000円 |
|---|---|
| 矯正料金 | 1,100,000円 |
| 処置料 | 3,300円 × 35回 |



| 主訴 | ガタガタ |
|---|---|
| 年齢/性別 | 20代 / 女性 |
| 抜歯部位 | 非抜歯 |
| 使用装置 | アライナー(インビザライン) |
| 治療期間 | 2年5ヶ月 |
| リテーナー | 下LBR, 上クリアリテーナー, 下クリアリテーナー |
- 歯根吸収(歯の根が短くなる症状)
- 歯肉退縮(歯肉が下がる症状)
- アンキローシス(歯と歯を支える骨が癒着し歯が動かなくなる)
- 失活(歯の神経が壊死してしまう状態)
- 顎関節症(顎の痛み)
| 検査・診断料 | 33,000円 |
|---|---|
| 矯正料金 | 1,100,000円 |
| 処置料 | 3,300円 × 19回 |



| 主訴 | ガタガタ |
|---|---|
| 年齢/性別 | 20代 / 女性 |
| 抜歯部位 | 非抜歯 |
| 使用装置 | アライナー(インビザライン) |
| 治療期間 | 2年5ヶ月 |
| リテーナー | 上LBR, 下LBR, 上クリアリテーナー, 下クリアリテーナー |
- 歯根吸収(歯の根が短くなる症状)
- 歯肉退縮(歯肉が下がる症状)
- アンキローシス(歯と歯を支える骨が癒着し歯が動かなくなる)
- 失活(歯の神経が壊死してしまう状態)
- 顎関節症(顎の痛み)
| 検査・診断料 | 33,000円 |
|---|---|
| 矯正料金 | 1,100,000円 |
| 処置料 | 3,300円 × 17回 |



| 主訴 | ガタガタ |
|---|---|
| 年齢/性別 | 20代 / 女性 |
| 抜歯部位 | 非抜歯 |
| 使用装置 | アライナー(インビザライン) |
| 治療期間 | 2年6ヶ月 |
| リテーナー | 下LBR, 上クリアリテーナー, 下クリアリテーナー |
- 歯根吸収(歯の根が短くなる症状)
- 歯肉退縮(歯肉が下がる症状)
- アンキローシス(歯と歯を支える骨が癒着し歯が動かなくなる)
- 失活(歯の神経が壊死してしまう状態)
- 顎関節症(顎の痛み)
| 検査・診断料 | 33,000円 |
|---|---|
| 矯正料金 | 990,000円 |
| 処置料 | 3,300円 × 16回 |



| 主訴 | 開咬(前歯が咬んでない), 内側に向かって生えている歯がある |
|---|---|
| 年齢/性別 | 50代 / 女性 |
| 抜歯部位 | 上顎左右5番 |
| 使用装置 | アライナー(インビザライン) |
| 治療期間 | 4年7カ月 |
| リテーナー | 上LBR, 上クリアリテーナー, 下クリアリテーナー |
- 歯根吸収(歯の根が短くなる症状)
- 歯肉退縮(歯肉が下がる症状)
- アンキローシス(歯と歯を支える骨が癒着し歯が動かなくなる)
- 失活(歯の神経が壊死してしまう状態)
- 顎関節症(顎の痛み)
| 検査・診断料 | 33,000円 |
|---|---|
| 矯正料金 | 1,100,000円 |
| 処置料 | 3,300円 × 18回 |



| 主訴 | ガタガタ, かみ合わせが深い |
|---|---|
| 年齢/性別 | 20代 / 女性 |
| 抜歯部位 | 右下2 |
| 使用装置 | アライナー(インビザライン) |
| 治療期間 | 2年2ヶ月 |
| リテーナー | 上LBR, 下LBR, 上クリアリテーナー, 下クリアリテーナー |
- 歯根吸収(歯の根が短くなる症状)
- 歯肉退縮(歯肉が下がる症状)
- アンキローシス(歯と歯を支える骨が癒着し歯が動かなくなる)
- 失活(歯の神経が壊死してしまう状態)
- 顎関節症(顎の痛み)
| 検査・診断料 | 33,000円 |
|---|---|
| 矯正料金 | 1,100,000円 |
| 処置料 | 3,300円 × 18回 |



| 主訴 | ガタガタ, 八重歯 |
|---|---|
| 年齢/性別 | 20代 / 女性 |
| 抜歯部位 | 非抜歯 |
| 使用装置 | アライナー(インビザライン) |
| 治療期間 | 2年3ヶ月 |
| リテーナー | 下LBR, 上クリアリテーナー, 下クリアリテーナー |
- 歯根吸収(歯の根が短くなる症状)
- 歯肉退縮(歯肉が下がる症状)
- アンキローシス(歯と歯を支える骨が癒着し歯が動かなくなる)
- 失活(歯の神経が壊死してしまう状態)
- 顎関節症(顎の痛み)
| 検査・診断料 | 33,000円 |
|---|---|
| 矯正料金 | 1,100,000円 |
| 処置料 | 3,300円 × 12回 |



| 主訴 | ガタガタ, 開咬(前歯が咬んでない) |
|---|---|
| 年齢/性別 | 20代 / 女性 |
| 抜歯部位 | 非抜歯 |
| 使用装置 | アライナー(インビザライン) |
| 治療期間 | 2年4ヶ月 |
| リテーナー | 上LBR, 下LBR, 上クリアリテーナー, 下クリアリテーナー |
- 歯根吸収(歯の根が短くなる症状)
- 歯肉退縮(歯肉が下がる症状)
- アンキローシス(歯と歯を支える骨が癒着し歯が動かなくなる)
- 失活(歯の神経が壊死してしまう状態)
- 顎関節症(顎の痛み)
| 検査・診断料 | 33,000円 |
|---|---|
| 矯正料金 | 1,100,000円 |
| 処置料 | 3,300円 × 17回 |



| 主訴 | ガタガタ, 出っ歯 |
|---|---|
| 年齢/性別 | 10代 / 男性 |
| 抜歯部位 | 上顎左右4番 |
| 使用装置 | ブラケット(ラビアル) |
| 治療期間 | 2年1ヶ月 |
| リテーナー | 上LBR, 下LBR, 上クリアリテーナー, 下クリアリテーナー |
- 歯根吸収(歯の根が短くなる症状)
- 歯肉退縮(歯肉が下がる症状)
- アンキローシス(歯と歯を支える骨が癒着し歯が動かなくなる)
- 失活(歯の神経が壊死してしまう状態)
- 顎関節症(顎の痛み)
| 検査・診断料 | 33,000円 |
|---|---|
| 矯正料金 | 1,100,000円 |
| 処置料 | 3,300円 × 32回 |



| 主訴 | 開咬(前歯が咬んでない), 顎の成長 |
|---|---|
| 年齢/性別 | 10代 / 女性 |
| 抜歯部位 | 非抜歯 |
| 使用装置 | アライナー(インビザライン) |
| 治療期間 | 1年11ヶ月 |
| リテーナー | 上クリアリテーナー, 下クリアリテーナー |
- 歯根吸収(歯の根が短くなる症状)
- 歯肉退縮(歯肉が下がる症状)
- アンキローシス(歯と歯を支える骨が癒着し歯が動かなくなる)
- 失活(歯の神経が壊死してしまう状態)
- 顎関節症(顎の痛み)
| 検査・診断料 | 33,000円 |
|---|---|
| 矯正料金 | 1,100,000円 |
| 処置料 | 3,300円 × 15回 |



| 主訴 | ガタガタ, 出っ歯, 食事の際に圧力がかかり方によって歯が痛い場合がある |
|---|---|
| 年齢/性別 | 20代 / 女性 |
| 抜歯部位 | 上顎左右4番 下顎左側5番 |
| 使用装置 | ブラケット(ラビアル), アライナー(インビザライン) |
| 治療期間 | 1年11ヶ月 |
| リテーナー | 上LBR, 下LBR, 上クリアリテーナー, 下クリアリテーナー |
- 歯根吸収(歯の根が短くなる症状)
- 歯肉退縮(歯肉が下がる症状)
- アンキローシス(歯と歯を支える骨が癒着し歯が動かなくなる)
- 失活(歯の神経が壊死してしまう状態)
- 顎関節症(顎の痛み)
| 検査・診断料 | 33,000円 |
|---|---|
| 矯正料金 | 1,100,000円 |
| 処置料 | 3,300円 × 26回 |



| 主訴 | ガタガタ, 出っ歯, 開咬(前歯が咬んでない) |
|---|---|
| 年齢/性別 | 20代 / 女性 |
| 抜歯部位 | 非抜歯 |
| 使用装置 | アライナー(インビザライン) |
| 治療期間 | 2年2ヶ月 |
| リテーナー | 上LBR, 下LBR, 上クリアリテーナー, 下クリアリテーナー |
- 歯根吸収(歯の根が短くなる症状)
- 歯肉退縮(歯肉が下がる症状)
- アンキローシス(歯と歯を支える骨が癒着し歯が動かなくなる)
- 失活(歯の神経が壊死してしまう状態)
- 顎関節症(顎の痛み)
| 検査・診断料 | 33,000円 |
|---|---|
| 矯正料金 | 1,100,000円 |
| 処置料 | 3,300円 × 17回 |



| 主訴 | ガタガタ |
|---|---|
| 年齢/性別 | 20代 / 女性 |
| 抜歯部位 | 非抜歯 |
| 使用装置 | アライナー(インビザライン) |
| 治療期間 | 1年8ヶ月 |
| リテーナー | 上LBR, 下LBR, 上クリアリテーナー, 下クリアリテーナー |
- 歯根吸収(歯の根が短くなる症状)
- 歯肉退縮(歯肉が下がる症状)
- アンキローシス(歯と歯を支える骨が癒着し歯が動かなくなる)
- 失活(歯の神経が壊死してしまう状態)
- 顎関節症(顎の痛み)
| 検査・診断料 | 33,000円 |
|---|---|
| 矯正料金 | 1,100,000円 |
| 処置料 | 3,300円 × 16回 |



| 主訴 | ガタガタ |
|---|---|
| 年齢/性別 | 30代 / 男性 |
| 抜歯部位 | 非抜歯 |
| 使用装置 | ブラケット(ラビアル) |
| 治療期間 | 1年7ヶ月 |
| リテーナー | 上クリアリテーナー, 下クリアリテーナー |
- 歯根吸収(歯の根が短くなる症状)
- 歯肉退縮(歯肉が下がる症状)
- アンキローシス(歯と歯を支える骨が癒着し歯が動かなくなる)
- 失活(歯の神経が壊死してしまう状態)
- 顎関節症(顎の痛み)
| 検査・診断料 | 33,000円 |
|---|---|
| 矯正料金 | 1,100,000円 |
| 処置料 | 3,300円 × 18回 |



| 主訴 | ガタガタ, 開咬(前歯が咬んでない) |
|---|---|
| 年齢/性別 | 20代 / 女性 |
| 抜歯部位 | 非抜歯 |
| 使用装置 | アライナー(インビザライン) |
| 治療期間 | 1年7ヶ月 |
| リテーナー | 上LBR, 下LBR, 上クリアリテーナー, 下クリアリテーナー |
- 歯根吸収(歯の根が短くなる症状)
- 歯肉退縮(歯肉が下がる症状)
- アンキローシス(歯と歯を支える骨が癒着し歯が動かなくなる)
- 失活(歯の神経が壊死してしまう状態)
- 顎関節症(顎の痛み)
| 検査・診断料 | 33,000円 |
|---|---|
| 矯正料金 | 1,100,000円 |
| 処置料 | 3,300円 × 13回 |



| 主訴 | 出っ歯, 横顔(口元が出ている), 笑った時の歯茎の見え方 |
|---|---|
| 年齢/性別 | 10代 / 女性 |
| 抜歯部位 | 上顎左右4番 |
| 使用装置 | ブラケット(ラビアル) |
| 治療期間 | 3年4か月 |
| リテーナー | 上LBR, 下LBR, 上クリアリテーナー, 下クリアリテーナー |
- 歯根吸収(歯の根が短くなる症状)
- 歯肉退縮(歯肉が下がる症状)
- アンキローシス(歯と歯を支える骨が癒着し歯が動かなくなる)
- 失活(歯の神経が壊死してしまう状態)
- 顎関節症(顎の痛み)
| 検査・診断料 | 33,000円 |
|---|---|
| 矯正料金 | 1,100,000円 |
| 処置料 | 3,300円 × 27回 |



| 主訴 | 出っ歯 |
|---|---|
| 年齢/性別 | 20代 / 女性 |
| 抜歯部位 | 非抜歯 |
| 使用装置 | ブラケット(ラビアル) |
| 治療期間 | 1年0ヶ月 |
| リテーナー | 上LBR, 下LBR, 上クリアリテーナー, 下クリアリテーナー |
- 歯根吸収(歯の根が短くなる症状)
- 歯肉退縮(歯肉が下がる症状)
- アンキローシス(歯と歯を支える骨が癒着し歯が動かなくなる)
- 失活(歯の神経が壊死してしまう状態)
- 顎関節症(顎の痛み)
| 検査・診断料 | 33,000円 |
|---|---|
| 矯正料金 | 1,100,000円 |
| 処置料 | 3,300円 × 16回 |



| 主訴 | ガタガタ |
|---|---|
| 年齢/性別 | 10代 / 女性 |
| 抜歯部位 | 非抜歯 |
| 使用装置 | アライナー(インビザライン) |
| 治療期間 | 1年2ヶ月 |
| リテーナー | 上LBR, 下LBR, 上クリアリテーナー, 下クリアリテーナー |
- 歯根吸収(歯の根が短くなる症状)
- 歯肉退縮(歯肉が下がる症状)
- アンキローシス(歯と歯を支える骨が癒着し歯が動かなくなる)
- 失活(歯の神経が壊死してしまう状態)
- 顎関節症(顎の痛み)
| 検査・診断料 | 33,000円 |
|---|---|
| 矯正料金 | 1,100,000円 |
| 処置料 | 3,300円 × 11回 |