MENU

Warning: Undefined array key 0 in /home/valuelink/nico-ortho-toyota.com/public_html/cms/wp-content/themes/vlortho-framework/single.php on line 13

Warning: Attempt to read property "name" on null in /home/valuelink/nico-ortho-toyota.com/public_html/cms/wp-content/themes/vlortho-framework/single.php on line 13

Warning: Undefined array key 0 in /home/valuelink/nico-ortho-toyota.com/public_html/cms/wp-content/themes/vlortho-framework/single.php on line 14

Warning: Attempt to read property "category_nicename" on null in /home/valuelink/nico-ortho-toyota.com/public_html/cms/wp-content/themes/vlortho-framework/single.php on line 14
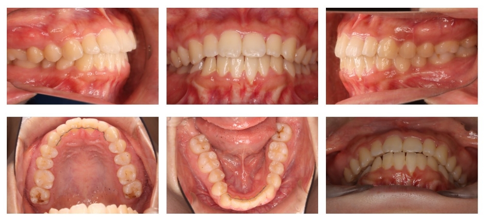
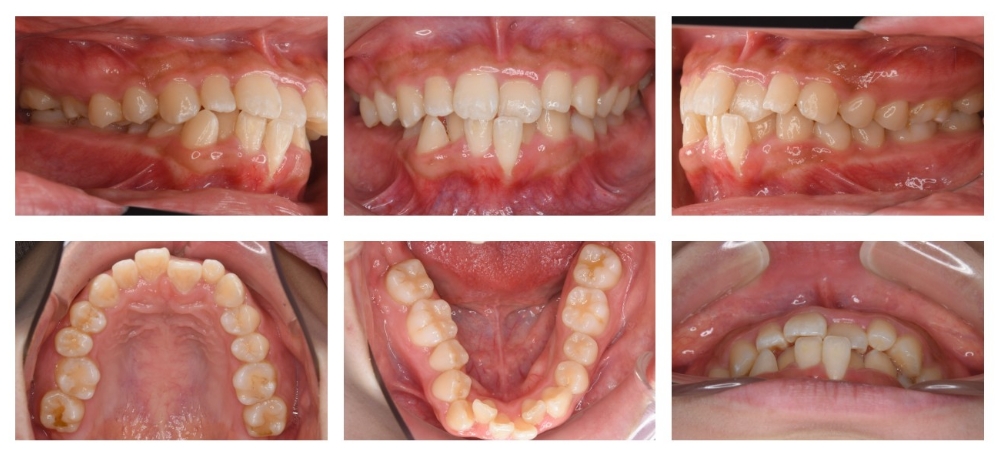
症例
治療前
治療後
治療前後の口元
叢生 交叉咬合(Cross bite) 前歯 シザースバイト
主訴 横顔(口元が出ている), 笑った時の歯茎の見え方
年齢/性別 10代 / 女性
抜歯部位 非抜歯
使用装置 アライナー(インビザライン)
治療期間 5年4ヶ月
リテーナー 上LBR, 下LBR, 上クリアリテーナー, 下クリアリテーナー
リスク及び副作用
  • 歯根吸収(歯の根が短くなる症状)
  • 歯肉退縮(歯肉が下がる症状)
  • アンキローシス(歯と歯を支える骨が癒着し歯が動かなくなる)
  • 失活(歯の神経が壊死してしまう状態)
  • 顎関節症(顎の痛み)
費用(全て税込)
検査・診断料 10,800円
矯正料金 1,026,000円
処置料 3,300円 × 32回