MENU

Warning: Undefined array key 0 in /home/valuelink/nico-ortho-toyota.com/public_html/cms/wp-content/themes/vlortho-framework/single.php on line 13

Warning: Attempt to read property "name" on null in /home/valuelink/nico-ortho-toyota.com/public_html/cms/wp-content/themes/vlortho-framework/single.php on line 13

Warning: Undefined array key 0 in /home/valuelink/nico-ortho-toyota.com/public_html/cms/wp-content/themes/vlortho-framework/single.php on line 14

Warning: Attempt to read property "category_nicename" on null in /home/valuelink/nico-ortho-toyota.com/public_html/cms/wp-content/themes/vlortho-framework/single.php on line 14
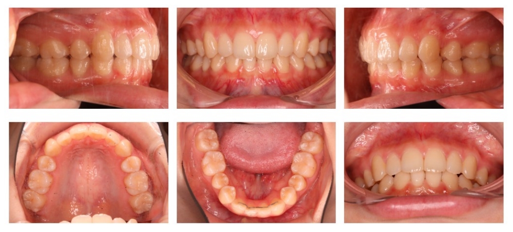
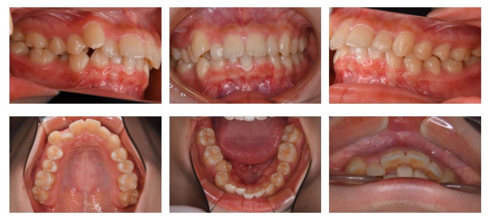
症例
治療前
治療後
治療前後の口元
叢生 上顎前突 過蓋咬合(Doop Overbite) 先天性欠損
主訴 出っ歯, 横顔(口元が出ている)
年齢/性別 20代 / 女性
抜歯部位 上下左右4番
使用装置 ハーフリンガル, アライナー(インビザライン)
治療期間 4年8ヵ月
リテーナー 下LBR, 上クリアリテーナー, 下クリアリテーナー
リスク及び副作用
  • 歯根吸収(歯の根が短くなる症状)
  • 歯肉退縮(歯肉が下がる症状)
  • アンキローシス(歯と歯を支える骨が癒着し歯が動かなくなる)
  • 失活(歯の神経が壊死してしまう状態)
  • 顎関節症(顎の痛み)
費用(全て税込)
検査・診断料 10,800円
矯正料金 1,026,000円
処置料 3,300円 × 48回