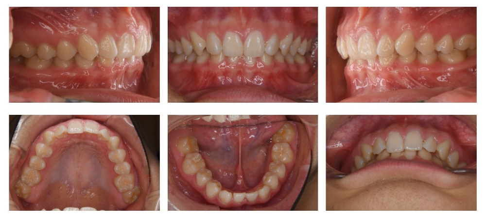
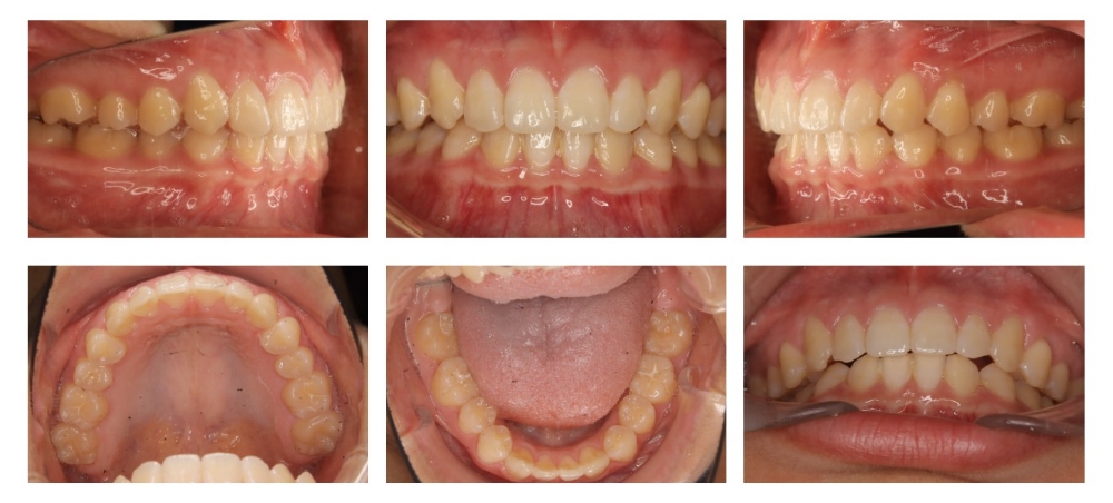
症例



| 主訴 | かみ合わせが深い |
|---|---|
| 年齢/性別 | 10代 / 女性 |
| 抜歯部位 | 非抜歯 |
| 使用装置 | アライナー(インビザライン) |
| 治療期間 | 2年5ヶ月 |
| リテーナー | 上クリアリテーナー, 下クリアリテーナー |
リスク及び副作用
- 歯根吸収(歯の根が短くなる症状)
- 歯肉退縮(歯肉が下がる症状)
- アンキローシス(歯と歯を支える骨が癒着し歯が動かなくなる)
- 失活(歯の神経が壊死してしまう状態)
- 顎関節症(顎の痛み)
費用(全て税込)
| 検査・診断料 | 33,000円 |
|---|---|
| 矯正料金 | 1,100,000円 |
| 処置料 | 3,300円 × 19回 |